The Warburg hypothesis and the emergence of the mitochondrial metabolic theory of cancer
瓦尔堡假说与线粒体代谢癌症理论的兴起
Abstract
摘要
Otto Warburg originally proposed that cancer arose from a two-step process. The first step involved a chronic insufficiency of mitochondrial oxidative phosphor yl ation (OxPhos), while the second step involved a protracted compensatory energy synthesis through lactic acid fermentation. His extensive findings showed that oxygen consumption was lower while lactate production was higher in cancerous tissues than in non-cancerous tissues. Warburg considered both oxygen consumption and extracellular lactate as accurate markers for ATP production through OxPhos and glycolysis, respectively. Warburg’s hypothesis was challenged from findings showing that oxygen consumption remained high in some cancer cells despite the elevated production of lactate suggesting that OxPhos was largely unimpaired. New information indicates that neither oxygen consumption nor lactate production are accurate surrogates for quant if i cation of ATP production in cancer cells. Warburg also did not know that a significant amount of ATP could come from glutamine-driven mitochondrial substrate level phosp hory la tion in the glut amino lysis pathway with succinate produced as end product, thus confounding the linkage of oxygen consumption to the origin of ATP production within mitochondria. Moreover, new information shows that cytoplasmic lipid droplets and elevated aerobic lactic acid fermentation are both biomarkers for OxPhos insufficiency. Warburg’s original hypothesis can now be linked to a more complete understanding of how OxPhos insufficiency underlies dys regulated cancer cell growth. These findings can also address several questionable assumptions regarding the origin of cancer thus allowing the field to advance with more effective therapeutic strategies for a less toxic metabolic management and prevention of cancer.
Otto Warburg最初提出癌症源于两个步骤的过程。第一步涉及线粒体氧化磷酸化(OxPhos)的慢性不足,第二步则通过乳酸发酵进行长期的代偿性能量合成。他的大量研究显示,癌变组织中的耗氧量较低,而乳酸产量高于非癌变组织。Warburg认为耗氧量和细胞外乳酸分别是OxPhos和糖酵解途径生成ATP的准确标志物。然而,Warburg的假说受到了一些发现的挑战,这些发现表明某些癌细胞在乳酸产量升高的同时仍保持较高的耗氧量,暗示OxPhos基本未受损。新信息表明,无论是耗氧量还是乳酸产量,都不能准确量化癌细胞中的ATP生成。Warburg当时也不知道,相当数量的ATP可能来自谷氨酰胺驱动的线粒体底物水平磷酸化,即在谷氨酰胺分解途径中以琥珀酸为终产物生成,这混淆了耗氧量与线粒体内ATP生成来源之间的关联。此外,新信息显示细胞质脂滴和有氧乳酸发酵增强都是OxPhos不足的生物标志物。Warburg的原始假说现在可以与对OxPhos不足如何导致癌细胞生长失调的更全面理解联系起来。这些发现还能解决关于癌症起源的几个可疑假设,从而使该领域能够推进更有效的治疗策略,以实现毒性更低的代谢管理和癌症预防。
Keywords Oxidative phosphor yl ation $\cdot$ Substrate level phosphor yl ation $\cdot$ Oxygen consumption $\cdot$ Lactate $\cdot$ Succinate · Somatic mutations $\cdot$ Lipid droplets $\cdot$ Car dio lip in
关键词 氧化磷酸化 (Oxidative phosphorylation) $\cdot$ 底物水平磷酸化 (Substrate level phosphorylation) $\cdot$ 耗氧量 $\cdot$ 乳酸 $\cdot$ 琥珀酸 $\cdot$ 体细胞突变 $\cdot$ 脂滴 $\cdot$ 心磷脂 (Cardiolipin)
Abbreviations
缩写
OxPhos Oxidative phosphor yl ation SLP Substrate level phosphor yl ation ROS Reactive oxygen species mSLP Mitochondrial substrate level phosphor yl ation
氧化磷酸化 (OxPhos)
底物水平磷酸化 (SLP)
活性氧 (ROS)
线粒体底物水平磷酸化 (mSLP)
SMT Somatic mutation theory MMT Mitochondrial metabolic theory KMT Ketogenic metabolic therapy TCA Tri carboxylic acid
SMT 体细胞突变理论 (Somatic mutation theory)
MMT 线粒体代谢理论 (Mitochondrial metabolic theory)
KMT 生酮代谢疗法 (Ketogenic metabolic therapy)
TCA 三羧酸 (Tri carboxylic acid)
Introduction
引言
Otto Warburg originally proposed that all cancers, regardless of animal species or tissue origin, arose from chronic disturbances of cellular respiration that would diminish ATP production through oxidative phosphor yl ation (OxPhos) (Warburg 1931, 1956a, 1956b, 1969). Dysregulated cell growth (cancer) would occur, however, only if ATP production through fermentation could compensate for the insufficient ATP production through OxPhos. These processes must occur chronically as acute OxPhos inhibition would kill the cell rather than transform it to a cancer cell. Based on earlier studies in sea urchins and in slice preparations from normal tissues, Warburg considered oxygen consumption as an accurate marker for ATP production through respiration and viewed lactate production as the sole marker for ATP production through fermentation (Warburg 1931; Krebs 1981). Warburg also used the “Meyerhof Quotient” as a quantitative estimate for assessing the effectiveness of respiration in preventing aerobic fermentation (Krebs 1981; Warburg 1931). Using units of oxygen consumption as the denominator and anaerobic glycolysis minus aerobic glycolysis in lactate units as the numerator, Warburg proposed that respiration in cancer cells was insufficient in reducing aerobic fermentation (glycolysis). In other words, the high aerobic glycolytic rate seen in all major cancers resulted as an effect of OxPhos insufficiency. Warburg held his view that cancer arose from chronic OxPhos insufficiency even when evaluating cancer cells where oxygen consumption was similar to that in non-cancerous cells (Warburg 1931).
Otto Warburg最初提出,所有癌症(无论动物种类或组织来源)都源于细胞呼吸的长期紊乱,这会减少通过氧化磷酸化(OxPhos)产生的ATP (Warburg 1931, 1956a, 1956b, 1969)。然而,只有当发酵产生的ATP能够补偿OxPhos产生的ATP不足时,才会发生细胞生长失调(癌症)。这些过程必须长期存在,因为急性OxPhos抑制会杀死细胞而非将其转化为癌细胞。基于早期对海胆和正常组织切片的研究,Warburg将耗氧量视为呼吸作用产生ATP的准确标志物,并将乳酸生成视为发酵产生ATP的唯一标志物 (Warburg 1931; Krebs 1981)。Warburg还使用"Meyerhof商数"作为定量指标,评估呼吸作用抑制有氧发酵的效率 (Krebs 1981; Warburg 1931)。以耗氧量单位为分母,无氧糖酵解减去有氧糖酵解(以乳酸单位计)为分子,Warburg提出癌细胞呼吸作用不足以抑制有氧发酵(糖酵解)。换言之,所有主要癌症中观察到的高有氧糖酵解率是OxPhos不足的结果。即使在评估耗氧量与正常细胞相似的癌细胞时,Warburg仍坚持认为癌症源于慢性OxPhos不足的观点 (Warburg 1931)。
Sidney Weinhouse, another preeminent researcher in cancer metabolism, seriously challenged Warburg’s hypothesis. Tumor cells that maintained high oxygen consumption was evidence to Weinhouse that OxPhos insufficiency could not explain the origin of cancer according to Warburg’s hypothesis (Weinhouse 1956, 1976). He also claimed that oxygen consumption in various tumors was, by and large, similar to that in non-neoplastic cells and tissues as long as differences in basal metabolic rate among different species (rat, mouse, and humans) were ignored (Weinhouse 1956). However, without recognizing the inter-species differences in basal metabolic rate, which is about seven-fold higher in mice than in humans (Terpstra 2001; Porter and Brand 1993), comparisons of tumor oxygen consumption that disregard differences in host metabolic rates are difficult to interpret if not meaningless (Burk and Schade 1956).
另一位癌症代谢领域的杰出研究者Sidney Weinhouse对Warburg的假说提出了严肃质疑。Weinhouse发现肿瘤细胞保持高耗氧量的现象,这证明按照Warburg假说,氧化磷酸化(OxPhos)不足无法解释癌症起源 (Weinhouse 1956, 1976)。他还声称,只要忽略不同物种(大鼠、小鼠和人类)基础代谢率的差异,各类肿瘤的耗氧量总体上与非肿瘤细胞组织相当 (Weinhouse 1956)。然而,小鼠的基础代谢率约是人类的七倍 (Terpstra 2001; Porter and Brand 1993),若不考虑宿主动物代谢率的种间差异,肿瘤耗氧量的比较将难以解读甚至失去意义 (Burk and Schade 1956)。
As an alternative to Warburg’s hypothesis, Weinhouse suggested that normal respiration and a normal Pasteur effect were incapable of eliminating the high glycolytic rate seen in some cancer cells making abnormally high glycolysis, rather than OxPhos insufficiency, as the key issue in the origin of cancers (Weinhouse 1956). Despite Warburg’s rebuttal to Weinhouse’s misunderstanding of concepts and Burk and Schade’s credible counter evidence against Weinhouse’s misinterpretation of data, Weinhouse continued to believe that mitochondria and ATP production through OxPhos were largely un compromised in cancer cells (Warburg 1956b; Weinhouse 1976; Burk and Schade 1956).
作为Warburg假说的替代方案,Weinhouse提出正常呼吸作用和巴斯德效应无法消除某些癌细胞中观察到的高糖酵解速率,因此异常高糖酵解(而非氧化磷酸化不足)才是癌症起源的关键问题 (Weinhouse 1956)。尽管Warburg反驳了Weinhouse对概念的误解,且Burk与Schade提供了可信证据反对其对数据的误读,Weinhouse仍坚持认为癌细胞中的线粒体及氧化磷酸化ATP生成基本未受损害 (Warburg 1956b; Weinhouse 1976; Burk and Schade 1956)。
Although Warburg’s central hypothesis was supported from the information presented in Alan Aisenberg’s monograph on the glycolysis and respiration in tumors and from Sidney Colowick’s review of the evidence (Aisenberg 1961; Colowick 1961), many investigators of cancer metabolism eventually sided with Weinhouse’s arguments in considering OxPhos as largely unimpaired in cancer and that gene-linked abnormalities in the regulation of glycolysis were mostly responsible for the growth of cancer cells ( $\mathbf{\tau}_{\mathrm{Zu~}}$ and Guppy 2004; Koppenol et al. 2011; Moreno-Sanchez et al. 2014; D eBerard in is and Chandel 2016; Vander Heiden et al. 2009; Liberti and Locasale 2016). Whether the mitochondria func- tion normally or abnormally in cancer cells has not yet been resolved despite research spanning almost a century (Aisenberg 1961; Pedersen 1978; Seyfried et al. 2020; Warburg 1925; Colowick 1961). Several questionable assumptions regarding the origin of energy production and the role of gene mutations in cancer are listed below that have confounded data interpretation and have delayed acceptance of the mitochondrial metabolic theory based on Warburg’s original hypothesis.
虽然Warburg的核心假说得到了Alan Aisenberg关于肿瘤糖酵解与呼吸作用的专著内容以及Sidney Colowick对相关证据综述的支持 (Aisenberg 1961; Colowick 1961),但许多癌症代谢研究者最终认同Weinhouse的观点,认为癌症中的氧化磷酸化(OxPhos)基本未受损,而糖酵解调控中与基因相关的异常才是癌细胞生长的主因 ( $\mathbf{\tau}_{\mathrm{Zu~}}$ and Guppy 2004; Koppenol et al. 2011; Moreno-Sanchez et al. 2014; DeBerardinis and Chandel 2016; Vander Heiden et al. 2009; Liberti and Locasale 2016)。尽管研究已持续近一个世纪,线粒体在癌细胞中究竟发挥正常还是异常功能仍未定论 (Aisenberg 1961; Pedersen 1978; Seyfried et al. 2020; Warburg 1925; Colowick 1961)。以下列出关于能量产生起源及基因突变在癌症中作用的若干存疑假设,这些假设混淆了数据解读,延缓了基于Warburg原始假说的线粒体代谢理论被接受。
Questionable Assumption 1. Oxygen consumption is an accurate marker for ATP production through OxPhos in can‑ cer cells Based first on the work of Meyerhof and later on the work of Krebs and co-workers in rat liver homogenates, Warburg assumed that seven moles of ATP could be formed when one mole of oxygen was consumed in the respiration of either normal cells or cancer cells (H. A. Krebs et al. 1953; Warburg 1931). Weinhouse made simi- lar assumptions emphasizing that not all cancer cells had reduced oxygen consumption and could not therefore have insufficient OxPhos compared to normal cells and tissues as Warburg claimed (Weinhouse 1956; 1976). Koppenol et al., later claimed that Warburg’s error in thinking that OxPhos was lower in cancer tissue than in normal tissue was due to hypoxia in the thickness of Warburg’s tumor tissue slice preparations $(\geq400\mathrm{mm})$ (Koppenol et al. 2011). However, earlier findings by Nelicia Mayer showed that oxygen consumption was lower in both tissue slices and in homo gen at es of tumor tissue than of normal tissues and homo gen at es, thus ruling out tissue slice thickness as a compelling argument against Warburg’s conclusions (Mayer 1944). Moreover, claims of unimpaired OxPhos function in tumor cells based solely on short-term resp i rome try (less than two hours) experiments must be viewed with caution according to the recent findings of Duraj and others (Duraj et al. 2021; D. C. Lee et al. 2024; Schmidt et al. 2021). Indeed, changes in oxygen consumption under specific mitochondrial targeting (such as oligomycin-linked oxygen consumption rate) are subject to many caveats and are not functionally informative on the sufficiency or insufficiency of OxPhos for viability and/or proliferation (Duraj et al. 2021; D. C. Lee et al. 2024).
可疑假设1:氧耗量是癌细胞通过氧化磷酸化(OxPhos)产生ATP的准确指标
Warburg最初基于Meyerhof的研究,后来根据Krebs团队在大鼠肝脏匀浆中的工作,假设无论是正常细胞还是癌细胞,在呼吸过程中每消耗1摩尔氧气就能形成7摩尔ATP (H. A. Krebs等 1953; Warburg 1931)。Weinhouse提出了类似假设,强调并非所有癌细胞的氧耗量都降低,因此不可能像Warburg宣称的那样比正常细胞和组织缺乏氧化磷酸化能力 (Weinhouse 1956; 1976)。Koppenol等人后来指出,Warburg误认为癌组织氧化磷酸化水平低于正常组织,是由于其肿瘤组织切片制备厚度 $(\geq400\mathrm{mm})$ 导致的缺氧假象 (Koppenol等 2011)。
然而,Nelicia Mayer早期研究发现,无论是组织切片还是匀浆,肿瘤组织的氧耗量都低于正常组织,从而排除了切片厚度作为反驳Warburg结论的决定性论据 (Mayer 1944)。此外,根据Duraj等人的最新研究,仅基于短期呼吸测定(不足两小时)实验就断言肿瘤细胞氧化磷酸化功能未受损的观点需要谨慎对待 (Duraj等 2021; D. C. Lee等 2024; Schmidt等 2021)。事实上,特定线粒体靶向干预(如寡霉素关联氧耗率)下的氧耗量变化存在诸多局限性,并不能功能性反映氧化磷酸化对细胞存活/增殖的充分性 (Duraj等 2021; D. C. Lee等 2024)。
It is important for us to emphasize that the reliance on oxygen consumption rate (OCR) as a marker for OxPhos efficiency in tumor cells is just as ambiguous today as it was for Warburg 100 years ago. We recently used a novel experimental design in measuring OCR in tandem with ATP-dependent bioluminescence to show that oxygen consumption is not a reliable measure for ATP production through OxPhos in mouse and human glioma cells (D. C. Lee et al. 2024). While many recent studies have assumed that OCR is an accurate measure of efficient OxPhos, none of these studies measured OCR in tandem with ATP-dependent bioluminescence or considered mitochondrial substrate level phosphor yl ation as a second, OxPhos independent source, of ATP production in tumor cell mitochondria (Moreno-Sanchez et al. 2009; Vaupel and Mayer 2012; Margetis 2023; Ward and Thompson 2012; Koppenol et al. 2011; Liberti and Locasale 2016; Janis ze w ska et al. 2012; Shiratori et al. 2019; Rodrigues et al. 2016; Saha et al. 2022; P. Herst et al. 2024; Vaupel and Multhoff 2021). Hence, caution is needed in assuming that OCR is an accurate measure of ATP production through OxPhos in tumor cells using shortterm resp i rome try and without also considering glutaminedriven mitochondrial substrate level phosphor yl ation as a compounding variable for ATP production (Lee et al. 2024; Duraj et al. 2024, 2021).
我们必须强调,将耗氧率(OCR)作为肿瘤细胞氧化磷酸化(OxPhos)效率的指标,在今天仍像100年前Warburg时代一样充满不确定性。我们最近采用了一种新颖的实验设计,在测量OCR的同时结合ATP依赖性生物发光检测,证明在小鼠和人类胶质瘤细胞中,耗氧量并不能可靠反映通过OxPhos途径产生的ATP量(D. C. Lee等, 2024)。尽管近期许多研究都假设OCR能准确衡量OxPhos效率,但这些研究既没有同步检测ATP依赖性生物发光,也没有考虑线粒体底物水平磷酸化(mitochondrial substrate level phosphorylation)作为肿瘤细胞线粒体中第二种不依赖OxPhos的ATP生成途径(Moreno-Sanchez等, 2009; Vaupel和Mayer, 2012; Margetis, 2023; Ward和Thompson, 2012; Koppenol等, 2011; Liberti和Locasale, 2016; Janiszewska等, 2012; Shiratori等, 2019; Rodrigues等, 2016; Saha等, 2022; P. Herst等, 2024; Vaupel和Multhoff, 2021)。因此,在短期呼吸测量中若未将谷氨酰胺驱动的线粒体底物水平磷酸化作为ATP生成的复合变量纳入考量,就假定OCR能准确反映肿瘤细胞通过OxPhos产生的ATP量,这种观点需要谨慎对待(Lee等, 2024; Duraj等, 2024, 2021)。
Data from several studies also showed that oxygen and the electron transport chain (ETC) can be used for metabolic activities other than ATP production through OxPhos in tumor cells (Joshi and Patel 2023; Leznev et al. 2013; Hall et al. 2013; P. M. Herst and Berridge 2007; Arcos et al. 1969; Ramanathan et al. 2005; Seyfried et al. 2020). Oxy- gen-derived reactive oxygen species (ROS), which reduce OxPhos function and contribute to nuclear genomic mutations, are generally greater in cancer cells than in normal cells (Bartesaghi et al. 2015; Zorov et al. 2014; Hervouet and Godinot 2006; Rodic and Vincent 2018; Lemarie and Grimm 2011). Excess ROS, in conjunction with proton leakage, can also uncouple the electrochemical gradient thus reducing ATP production through the ATP synthase (Valle et al. 2010; Villalobo and Lehninger 1979). New studies now suggest that ATP production through OxPhos is neither necessary nor sufficient for brain tumor cell growth in the absence of ferment able fuels (D. C. Lee et al. 2024). Indeed, no evidence has been presented showing any tumor cell that can grow in the absence of ferment able fuels regardless of oxygen consumption. When viewed collectively, the available evidence challenges the assumption that oxygen consumption is an accurate marker for ATP production through OxPhos in cancer cells.
多项研究数据还表明,肿瘤细胞中的氧气和电子传递链(ETC)除用于氧化磷酸化(OxPhos)产生ATP外,还可参与其他代谢活动(Joshi and Patel 2023; Leznev et al. 2013; Hall et al. 2013; P. M. Herst and Berridge 2007; Arcos et al. 1969; Ramanathan et al. 2005; Seyfried et al. 2020)。与正常细胞相比,癌细胞中由氧衍生的活性氧(ROS)水平通常更高,这些ROS会降低OxPhos功能并导致核基因组突变(Bartesaghi et al. 2015; Zorov et al. 2014; Hervouet and Godinot 2006; Rodic and Vincent 2018; Lemarie and Grimm 2011)。过量ROS与质子漏共同作用还能解耦电化学梯度,从而降低ATP合酶产生的ATP量(Valle et al. 2010; Villalobo and Lehninger 1979)。最新研究表明,在缺乏可发酵燃料的情况下,通过OxPhos产生ATP对脑肿瘤细胞生长既非必要条件也不充分条件(D. C. Lee et al. 2024)。事实上,目前没有任何证据表明存在某种肿瘤细胞能在缺乏可发酵燃料的情况下仅依靠耗氧实现生长。综合现有证据来看,关于"耗氧量能准确反映癌细胞通过OxPhos产生ATP"的假设值得商榷。
Questionable Assumption 2. Lactic acid is an accurate marker for ATP production through glycolysis in cancer cells Based on findings from his laboratory, Warburg assumed that one mole of ATP could be formed when one mole of lactic acid was produced from glucose fermentation in cancer cells (Warburg 1931; 1956a). While this would be correct for most normal cells and tissues, it would not be correct for cancer cells and tissues. In contrast to the pyruvate kinase isoform (PKM1), which produces ATP through substrate level phosphor yl ation in the glycolytic pathway, the low affinity pyruvate kinase 2 isoform (PKM2) is also active in cancer cells where significant lactate can be produced independent of ATP production (Vander Heiden et al. 2010; Israelsen et al. 2013; Chino poul os 2020; D. C. Lee et al. 2024). As tumor cells predominantly contain mixtures of both the PKM1 & the PKM2 isoforms, it becomes difficult to accurately estimate ATP production through either aerobic or anaerobic glucose-linked fermentation based solely on lactate production (D. C. Lee et al. 2024). In addition to alleviating reductive stress, the activity of PKM2 generates an upstream metabolic traffic jam that will divert the intermediate metabolites of glycolysis to anabolic processes (Chino poul os 2020). Lactic acid could be an accurate marker for ATP production through glycolysis if 1) the ratio of PKM1:PKM2 is determined, and 2) the ratio of tetra meri zed PKM2 to dimerized PKM2 is determined. No studies have yet made these determinations to our knowledge. Some lactate might also be produced from glutamine, but the amount is negligible compared to the amount produced from glucose (Ta and Seyfried 2015; Seyfried et al. 2020; D eBerard in is et al. 2007). The inaccuracy of extracellular lactate production as a marker for ATP production through glycolysis viewed together with the inaccuracy of oxygen consumption rate as a predictor of ATP production through OxPhos make the conclusions from either Warburg or Weinhouse on ATP production in cancer cells based on the “Meyerhof Quotient” as largely inaccurate (H. Krebs 1981; Koppenol et al. 2011; Warburg 1931).
可疑假设2:乳酸是癌细胞糖酵解ATP生成的准确标志物
Warburg根据其实验室研究结果假设,癌细胞中每发酵1摩尔葡萄糖产生1摩尔乳酸时,会同步生成1摩尔ATP (Warburg 1931; 1956a)。虽然该假设适用于多数正常细胞和组织,却不适用于癌细胞。与通过糖酵解途径底物水平磷酸化产生ATP的丙酮酸激酶亚型(PKM1)不同,癌细胞中活跃的低亲和力丙酮酸激酶2亚型(PKM2)可在不依赖ATP生成的情况下大量产生乳酸 (Vander Heiden et al. 2010; Israelsen et al. 2013; Chinopoulos 2020; D. C. Lee et al. 2024)。由于肿瘤细胞同时含有PKM1和PKM2亚型混合物,仅凭乳酸产量难以准确估算有氧或无氧葡萄糖发酵途径的ATP产量 (D. C. Lee et al. 2024)。PKM2活性除缓解还原压力外,还会造成上游代谢拥堵,将糖酵解中间代谢物分流至合成代谢过程 (Chinopoulos 2020)。若满足:1)测定PKM1:PKM2比例,2)测定四聚体与二聚体PKM2比例,乳酸才可能成为糖酵解ATP生成的可靠标志物。目前尚无研究实现这两项测定。少量乳酸也可能由谷氨酰胺产生,但其产量较葡萄糖来源可忽略不计 (Ta and Seyfried 2015; Seyfried et al. 2020; DeBerardinis et al. 2007)。细胞外乳酸产量作为糖酵解ATP标志物的不准确性,与耗氧率预测氧化磷酸化ATP产量的不准确性共同表明:Warburg和Weinhouse基于"Meyerhof商数"对癌细胞ATP生成机制的结论存在重大误差 (H. Krebs 1981; Koppenol et al. 2011; Warburg 1931)。
Questionable Assumption 3. OxPhos and lactic acid fer‑ mentation are the only sources of ATP production in cancer cells In addition to OxPhos and glycolysis, the original studies of Kaufman et al., Hift et al., and Sanadi et al., showed that ATP could also be produced through a substrate level phosphor yl ation reaction catalyzed by succinyl CoA synthetase in the TCA cycle (Sanadi et al. 1956; Kaufman et al. 1953; Hift et al. 1953). Assumption three is questionable because it fails to recognize the significant contribution of glutamine-driven mitochondrial substrate level phosphorylation (mSLP) through the glut amino lysis pathway as an additional source of ATP production in cancer cells (Auger et al. 2021; D. C. Lee et al. 2024; Chino poul os and Seyfried 2018; Flores et al. 2018; Doczi et al. 2023; Gao et al. 2016; Ravasz et al. 2024). Just as lactate is the predominant endproduct of glucose fermentation produced through cytosolic substrate level phosphor yl ation in the Embden-MeyerhofParnas pathway, succinate is the predominant end-product of glutamine fermentation produced through mitochondrial substrate level phosphor yl ation in the glut amino lysis pathway (Chino poul os 2019; Ravasz et al. 2024; D. C. Lee et al. 2024; Slaughter et al. 2016). It is well-documented that glucose and glutamine fermentation can compensate for transient OxPhos inefficiency during prolonged diving (Hochachka et al. 1975), ischemia (Taegtmeyer 1978; J. Zhang et al. 2018; Chino poul os 2019), hemorrhagic shock (Taghavi et al. 2022; Slaughter et al. 2016), and high-intensity muscle exercise (Reddy et al. 2020). The accumulation of lactate and succinate are the biomarkers for compensatory ATP maintenance through SLP in the cytosol and in the mitochondria, respectively (Chino poul os 2019; Reddy et al. 2020; D. C. Lee et al. 2024). It is noteworthy, however, that the extracellular accumulation of lactate and succinate ceases following the resumption of OxPhos activity in nonneoplastic cells indicating that their linkage to ATP maintenance through fermentation is transient (Reddy et al. 2020; Hochachka et al. 1975).
可疑假设3:氧化磷酸化和乳酸发酵是癌细胞中ATP产生的唯一来源
除氧化磷酸化和糖酵解外,Kaufman等人、Hift等人及Sanadi等人的早期研究表明,ATP还可通过TCA循环中琥珀酰CoA合成酶催化的底物水平磷酸化反应产生 (Sanadi et al. 1956; Kaufman et al. 1953; Hift et al. 1953)。该假设的质疑点在于其忽视了谷氨酰胺分解途径驱动的线粒体底物水平磷酸化 (mSLP) 对癌细胞ATP生成的重要贡献 (Auger et al. 2021; D. C. Lee et al. 2024; Chinopoulos and Seyfried 2018; Flores et al. 2018; Doczi et al. 2023; Gao et al. 2016; Ravasz et al. 2024)。正如乳酸是糖酵解途径中胞质底物水平磷酸化的主要终产物,琥珀酸则是谷氨酰胺分解途径中线粒体底物水平磷酸化产生的主要终产物 (Chinopoulos 2019; Ravasz et al. 2024; D. C. Lee et al. 2024; Slaughter et al. 2016)。现有充分证据表明,在长时间潜水 (Hochachka et al. 1975)、缺血 (Taegtmeyer 1978; J. Zhang et al. 2018; Chinopoulos 2019)、失血性休克 (Taghavi et al. 2022; Slaughter et al. 2016) 及高强度肌肉运动 (Reddy et al. 2020) 期间,葡萄糖和谷氨酰胺发酵可补偿氧化磷酸化的暂时性效率不足。乳酸和琥珀酸的积累分别是胞质与线粒体中通过底物水平磷酸化维持ATP补偿的生物标志物 (Chinopoulos 2019; Reddy et al. 2020; D. C. Lee et al. 2024)。但值得注意的是,在非肿瘤细胞中,当氧化磷酸化活性恢复后,细胞外乳酸和琥珀酸的积累即停止,这表明其通过发酵维持ATP的联系是暂时性的 (Reddy et al. 2020; Hochachka et al. 1975)。


In contrast to the transient extracellular accumulation of fermentation end products seen in oxygen deprived normal cells and tissues, many tumor cells chronically produce lactate and succinate even in the presence of oxygen (D. C. Lee et al. 2024; C. C. Kuo et al. 2022; Selak et al. 2005; Zhao et al. 2017). Accumulation of extracellular lactate and succinate will contribute to the acidification of the cancer micro environment, thus contributing to tumor progression (Seyfried et al. 2022; Bayley and Devilee 2010; C. C. Kuo et al. 2022). In other words, the continuous elevation of mitochondrial SLP with succinate production and cytosolic SLP with lactate production in the presence of oxygen are both effects of chronic OxPhos insufficiency, i.e., the bioenergetic signature of most, if not all, major cancers.
与缺氧状态下正常细胞和组织中发酵终产物的短暂细胞外积累不同,许多肿瘤细胞即使在有氧条件下也会长期产生乳酸和琥珀酸 (D. C. Lee et al. 2024; C. C. Kuo et al. 2022; Selak et al. 2005; Zhao et al. 2017)。细胞外乳酸和琥珀酸的积累会导致肿瘤微环境酸化,从而促进肿瘤进展 (Seyfried et al. 2022; Bayley and Devilee 2010; C. C. Kuo et al. 2022)。换言之,有氧条件下线粒体底物水平磷酸化 (SLP) 伴随琥珀酸生成、以及胞浆底物水平磷酸化伴随乳酸生成的持续升高,都是长期氧化磷酸化 (OxPhos) 不足的表现——即绝大多数(若非全部)主要癌症的生物能量特征。
Neither Warburg nor Weinhouse knew that significant ATP could be produced through glutamine-driven mSLP
Warburg 和 Weinhouse 都不知道大量 ATP 可通过谷氨酰胺驱动的 mSLP 途径产生
Fig. 1 ATP production and vulnerability of cancer cells to metabolic stress. Besides OxPhos and cytosolic substrate level phosphorylation (cSLP) in the pay-off phase of glycolysis, ATP can also be produced through glutamine-driven mitochondrial substrate level phosphor yl ation (mSLP) in the glut amino lysis pathway (Chinopoulos and Seyfried 2018; Seyfried et al. 2020; D. C. Lee et al. 2024; Doczi et al. 2023). The glut amino lysis pathway becomes elevated in tumor cells with inefficient OxPhos that also express the dimeric PKM2 isoform, which produces less ATP through glycolysis than does the PKM1 isoform. The percentage of ATP produced through OxPhos, mSLP, and cytosolic SLP would be context dependent in any given tumor and cannot therefore be accurately measured; hence the red question marks (?). Besides increasing the energetic efficiency of normal cells, by increasing the $\Delta\mathrm{G}'$ of ATP hydrolysis, the elevation of circulating ketone bodies ( $\mathrm{\textregistered}$ -hydroxy but y rate and ace to acetate) through ketogenic metabolic therapy (KMT) could indirectly reduce ATP synthesis through the succinyl-CoA synthetase (SCS) reaction by diverting CoA to ace to acetate. The IDH1 mutation, present in some gliomas, could further reduce ATP synthesis through mSLP by increasing synthesis of 2-hydroxy glut a rate from $\upalpha$ -keto glut a rate and thus reducing the succinyl-CoA substrate for the SCS reaction (Seyfried et al. 2021). In addition to its potential effect in reducing glut amino lysis, 2-hydroxy glut a rate can also target multiple HIF1α-responsive genes and enzymes in the glycolysis pathway thus limiting synthesis of metabolites and one-carbon metabolism needed for rapid tumour growth (K. Zhang et al. 2017; Chino poul os and Seyfried 2018; Seyfried et al. 2020; Chesnelong et al. 2014). The down regulation of HIF1α-regulated lactate dehydrogenase A (LDHA), through the action of both KMT and the IDH1 mutation, would reduce extracellular lactate and succinate levels thus reducing micro environment inflammation and tumour cell invasion. Hence, the simultaneous inhibition of cytosolic and mitochondrial SLP, while the body is in a state of therapeutic ketosis (GKI 2.0 or below), will stress the majority of signaling pathways necessary for rapid tumor growth. Arrow thickness denotes higher relative flux of the glycolysis and glut amino lysis pathways as previously predicted (E. A. Newsholme and Board 1991). $\mathrm{PPP}=$ pentose phosphate pathway; $\mathrm{KMT}=1$ ketogenic metabolic therapy; $\mathrm{\bfGLS}=$ glut a minas e; $\mathrm{GDH}=$ glutamate dehydrogenase; $\mathrm{IDH}=$ isocitrate dehydrogenase; $\mathrm{SCS}=$ succinyl-CoA synthetase; ${\mathrm{OXCT1}}=$ succinyl-CoA:3- ketoacid CoA transfer as e; $\scriptstyle{\mathrm{HIF}}1\alpha=$ hypoxia-inducible factor 1 subunit alpha; $\mathrm{UCPs}=$ uncoupling proteins; $\mathrm{CoQ=}$ coenzyme Q; Cyt $c=$ cytochrome c; AcAc $=$ ace to acetate; AcAc-CoA $=$ ace to acetyl-CoA; $\mathrm{NAD+=}$ nicotinamide adenine dinucleotide; $\mathrm{NADH}=$ nicotinamide adenine dinucleotide, reduced; ${\mathrm{NADP}}+=$ nicotinamide adenine dinucleotide phosphate; ${\mathrm{NADPH}}=$ nicotinamide adenine dinucleotide phosphate, reduced; $\mathrm{CL}=$ car dio lip in. Figure created using BioRender
图 1: 癌细胞ATP生成与代谢应激脆弱性。除氧化磷酸化(OxPhos)和糖酵解 payoff阶段的胞质底物水平磷酸化(cSLP)外,谷氨酰胺分解途径中的线粒体底物水平磷酸化(mSLP)也可生成ATP (Chinopoulos和Seyfried 2018; Seyfried等 2020; D. C. Lee等 2024; Doczi等 2023)。在OxPhos效率低下且表达二聚体PKM2亚型的肿瘤细胞中,谷氨酰胺分解途径活性升高,该亚型通过糖酵解产生的ATP少于PKM1亚型。特定肿瘤中OxPhos、mSLP和胞质SLP生成ATP的比例具有情境依赖性,因此无法精确测量(红色问号)。通过生酮代谢疗法(KMT)提升循环酮体(β-羟基丁酸和乙酰乙酸)水平,不仅能通过增加ATP水解的ΔG'来提高正常细胞能量效率,还可能通过将CoA分流至乙酰乙酸而间接减少琥珀酰-CoA合成酶(SCS)反应产生的ATP。某些胶质瘤中的IDH1突变会促进α-酮戊二酸转化为2-羟基戊二酸,从而减少SCS反应的琥珀酰-CoA底物,进一步降低mSLP的ATP合成(Seyfried等 2021)。2-羟基戊二酸除可能抑制谷氨酰胺分解外,还能靶向糖酵解途径中多个HIF1α响应基因和酶,从而限制肿瘤快速生长所需的代谢物和一碳代谢合成(K. Zhang等 2017; Chinopoulos和Seyfried 2018; Seyfried等 2020; Chesnelong等 2014)。KMT和IDH1突变共同作用下调的HIF1α调控乳酸脱氢酶A(LDHA),可降低细胞外乳酸和琥珀酸水平,从而减轻微环境炎症和肿瘤细胞侵袭。因此,在治疗性酮症状态(GKI≤2.0)下同时抑制胞质和线粒体SLP,将胁迫肿瘤快速生长所需的大部分信号通路。箭头粗细表示糖酵解和谷氨酰胺分解途径的相对通量(依据E. A. Newsholme和Board 1991预测)。PPP=磷酸戊糖途径;KMT=生酮代谢疗法;GLS=谷氨酰胺酶;GDH=谷氨酸脱氢酶;IDH=异柠檬酸脱氢酶;SCS=琥珀酰-CoA合成酶;OXCT1=琥珀酰-CoA:3-酮酸CoA转移酶;HIF1α=缺氧诱导因子1α亚基;UCPs=解偶联蛋白;CoQ=辅酶Q;Cyt c=细胞色素c;AcAc=乙酰乙酸;AcAc-CoA=乙酰乙酰-CoA;NAD+=烟酰胺腺嘌呤二核苷酸;NADH=还原型烟酰胺腺嘌呤二核苷酸;NADP+=烟酰胺腺嘌呤二核苷酸磷酸;NADPH=还原型烟酰胺腺嘌呤二核苷酸磷酸;CL=心磷脂。图表使用BioRender绘制
in the glut amino lysis pathway with succinate generated as end product, thus confounding the linkage of oxygen consumption to the origin of ATP production within tumor cell mitochondria. While glutamine has been largely recognized as an an apl erotic respiratory fuel for growth (DeBerardinis et al. 2007), new findings show that glutamine can also be fermented for ATP production via mitochondrial SLP (Doczi et al. 2023; Ravasz et al. 2024; D. C. Lee et al. 2024). By sustaining the activity of the oligomycin-sensitive F1-F0-ATPase operating in reverse, mitochondrial SLP activity during hypoxia in normal cells or normoxia/ hypoxia in cancer cells, will prevent the reverse operation of the adenine nucleotide transporter (ANT) thus preventing the life-threatening consumption of cytosolic ATP reserves (Zhdanov et al. 2017; Chino poul os and Adam-Vizi 2010; Chino poul os et al. 2010). While both the electron transport chain and oxygen consumption can influence the efficiency of mitochondrial SLP, this influence appears independent of ATP production through OxPhos (Chino poul os 2011).
在谷氨酰胺分解途径中,琥珀酸作为终产物生成,从而混淆了肿瘤细胞线粒体内氧消耗与ATP产生来源的关联。虽然谷氨酰胺已被广泛认为是支持生长的回补呼吸燃料 (DeBerardinis et al. 2007),但新研究发现谷氨酰胺还可通过线粒体底物水平磷酸化(SLP)发酵产生ATP (Doczi et al. 2023; Ravasz et al. 2024; D. C. Lee et al. 2024)。通过维持逆向运作的寡霉素敏感型F1-F0-ATP酶活性,正常细胞缺氧或癌细胞常氧/缺氧状态下的线粒体SLP活动,可阻止腺苷酸转运体(ANT)的逆向运行,从而避免威胁生命的胞质ATP储备消耗 (Zhdanov et al. 2017; Chinopoulos and Adam-Vizi 2010; Chinopoulos et al. 2010)。虽然电子传递链和氧消耗都会影响线粒体SLP效率,但这种影响似乎独立于氧化磷酸化(OxPhos)的ATP生成 (Chinopoulos 2011)。
We recently suggested that ATP could be produced in glioblastoma through mitochondrial substrate-level phosp hory la tion (mSLP) in the glut amino lysis pathway (Seyfried et al. 2020; Chino poul os and Seyfried 2018; D. C. Lee et al. 2024). Previous studies showed that oxygen-independent mSLP was a major source of ATP content necessary for the growth of the parasite Trypanosoma brucei (BochudAllemann and Schneider 2002; Taleva et al. 2023). Moreo- ver, mSLP could rescue proliferation in respiration-impaired yeast by maintaining the mitochondrial membrane potential (Schwimmer et al. 2005). Previous studies in non-neural cancer cells also provided evidence for a role of mitochondrial SLP in driving tumor growth (Gao et al. 2016). Further studies will be needed to document the role of mitochondrial SLP as a source of ATP production in cancer.
我们最近提出,胶质母细胞瘤中的ATP可能通过谷氨酰胺分解途径中的线粒体底物水平磷酸化 (mitochondrial substrate-level phosphorylation, mSLP) 产生 (Seyfried et al. 2020; Chinopoulos and Seyfried 2018; D. C. Lee et al. 2024)。先前研究表明,不依赖氧气的mSLP是布氏锥虫生长所需ATP的主要来源 (Bochud-Allemann and Schneider 2002; Taleva et al. 2023)。此外,mSLP可通过维持线粒体膜电位来挽救呼吸受损酵母的增殖 (Schwimmer et al. 2005)。在非神经性癌细胞中的先前研究也为线粒体SLP在驱动肿瘤生长中的作用提供了证据 (Gao et al. 2016)。需要进一步研究来证明线粒体SLP作为癌症中ATP产生来源的作用。
It is important to recognize that glutamine consumption in many cancer cells can support both metabolite synthesis through the reductive carboxyl ation pathway as well as ATP production through mSLP (oxidative decarboxylation pathway) thus maintaining growth and viability (J. Jin et al. 2023; Scott et al. 2011; Jiang et al. 2019; Wise et al. 2008). The failure to recognize mitochondrial SLP as a major source of ATP production continues to confuse the issue of mitochondrial function in cancer and how tumor cells can survive and grow with minimal contributions from either OxPhos or glycolysis. Figure 1 illustrates the three sources of ATP production in cancer cells. Although cytosolic and mitochondrial SLP are necessary and sufficient for driving cancer cell growth, new findings in mouse and human glioma cells show that ATP production through OxPhos is neither necessary nor sufficient (D. C. Lee et al. 2024). A better understanding of metabolic control logic will be needed to more accurately quantify the amount of ATP produced from each of the three known sources needed for tumor cell growth due to the unpredictable metabolic flux of glucose and glutamine fuel utilization supporting each source of ATP production (E. A. Newsholme and Board 1991). Hence, question marks (?) are placed next to each ATP source in Fig. 1.
需要认识到,许多癌细胞中的谷氨酰胺消耗既能通过还原羧化途径支持代谢物合成,也能通过线粒体底物水平磷酸化 (mSLP) (氧化脱羧途径) 产生 ATP,从而维持细胞生长和存活 (J. Jin 等 2023; Scott 等 2011; Jiang 等 2019; Wise 等 2008)。未能将线粒体底物水平磷酸化视为 ATP 生成的主要来源,持续混淆了关于癌症中线粒体功能以及肿瘤细胞如何在氧化磷酸化 (OxPhos) 或糖酵解贡献极小的条件下存活和生长的问题。图 1 展示了癌细胞中 ATP 生成的三个来源。尽管胞质和线粒体底物水平磷酸化是驱动癌细胞生长必要且充分的条件,但小鼠和人类胶质瘤细胞的新发现表明,通过氧化磷酸化产生 ATP 既非必要也不充分 (D. C. Lee 等 2024)。由于支持各 ATP 生成来源的葡萄糖和谷氨酰胺燃料代谢通量存在不可预测性 (E. A. Newsholme 和 Board 1991),我们需要更好地理解代谢调控逻辑,才能更准确地量化肿瘤细胞生长所需的三种已知 ATP 来源各自的贡献量。因此,图 1 中每个 ATP 来源旁都标注了问号 (?)。
It is important to mention that we avoid using the term “Warburg effect” in our review as Warburg considered aerobic lactic acid fermentation as too labile and too dependent on external conditions (Warburg 1956a). Cytosolic SLP is not the same as the Warburg effect since SLP is independent of the end-product or presence of oxygen. The Warburg effect is typically defined both by the endproduct (lactate) and the presence of oxygen (aerobic lactic acid fermentation) because persistently elevated lactate production would be unexpected in normoxia. Racker coined the term and simply considered the Warburg effect as an expression of high aerobic glycolysis in tumors (Racker 1972). The term has generated significant confusion in the cancer field as aerobic glycolysis occurs in most oxygenated normal cells where pyruvate is produced as the end product of the Embden-Meyerhof-Parnas pathway. We prefer the term “increased cytosolic substrate level phosphor yl ation”, rather than Warburg effect, to describe the mechanism of ATP production in the cell cytosol. Moreover, recent evidence suggests that lactic acid fermentation, i.e., the lactic acid dehydrogenase catalyzed reaction, is not required for proliferation (Zdralevic et al. 2018; Hefzi et al. 2025). While the impact on tumor ige nic- ity has not been fully established, and this phenomenon has not been documented without genetic editing, it is important to note that cytosolic SLP provides ATP, not the lactate production contributing to $\mathrm{NAD+}$ regeneration. The “Warburg effect” may be dispensable for tumor cell proliferation under specific conditions, provided that the $\mathrm{NAD+/NADH}$ ratio is maintained (Hefzi et al. 2025). Several metabolic pathways have been identified to operate in favour of $\mathrm{NAD^{+}}$ regeneration (i.e., oxidizing NADH) or sustenance (i.e., inhibition of $\mathrm{NAD^{+}}$ reduction to NADH) when OxPhos is insufficient in cancer cells (Chinopoulos 2024; Birsoy et al. 2015; Luengo et al. 2021). These findings attest to the critical importance of maintaining a sufficiently high $\mathrm{NAD^{+}/N A D H}$ ratio supporting cancer cell viability under OxPhos insufficiency. Most importantly, both increased cytosolic and mitochondrial SLP (ATP-generating) appear to be necessary prerequisites for dys regulated tumor cell growth when OxPhos efficiency is compromised.
需要指出的是,我们在综述中避免使用"Warburg效应"这一术语,因为Warburg认为有氧乳酸发酵过于不稳定且过度依赖外部条件 (Warburg 1956a)。胞质底物水平磷酸化(SLP)与Warburg效应不同,因为SLP不依赖于终产物或氧气的存在。Warburg效应通常通过终产物(乳酸)和氧气存在(有氧乳酸发酵)来定义,因为在常氧条件下持续升高的乳酸产量是意料之外的。Racker创造了这个术语,并简单地将Warburg效应视为肿瘤中高有氧糖酵解的表现 (Racker 1972)。该术语在癌症领域造成了相当大的混淆,因为有氧糖酵解发生在大多数含氧正常细胞中,其中丙酮酸作为Embden-Meyerhof-Parnas途径的终产物产生。我们更倾向于使用"胞质底物水平磷酸化增强"而非Warburg效应来描述细胞胞质中ATP产生的机制。此外,最新证据表明乳酸发酵(即乳酸脱氢酶催化的反应)并非增殖所必需 (Zdralevic et al. 2018; Hefzi et al. 2025)。虽然其对肿瘤发生的影响尚未完全确定,且未经基因编辑的情况下尚未记录到这种现象,但值得注意的是胞质SLP提供的是ATP,而非有助于$\mathrm{NAD+}$再生的乳酸生产。在特定条件下,只要维持$\mathrm{NAD+/NADH}$比值,"Warburg效应"对肿瘤细胞增殖可能是可有可无的 (Hefzi et al. 2025)。当癌细胞中氧化磷酸化(OxPhos)不足时,已发现数条代谢途径有利于$\mathrm{NAD^{+}}$再生(即氧化NADH)或维持(即抑制$\mathrm{NAD^{+}}$还原为NADH) (Chinopoulos 2024; Birsoy et al. 2015; Luengo et al. 2021)。这些发现证明了在氧化磷酸化不足时,维持足够高的$\mathrm{NAD^{+}/NADH}$比值对维持癌细胞存活至关重要。最重要的是,当氧化磷酸化效率受损时,胞质和线粒体SLP(产生ATP)的增加似乎是肿瘤细胞生长失调的必要前提条件。
Questionable Assumption 4. The number, structure, and function of mitochondria are similar in tumor tissue and in non‑cancerous tissues Warburg based his hypothesis that ATP production through respiration was insufficient in cancer cells primarily on quantitative comparisons of oxygen consumption and lactate production between normal and cancerous tissues. Warburg’s evidence for OxPhos impairment in cancer was largely discounted based on Weinhouse’s 1976 statement: “Despite massive efforts during the half-century following the Warburg proposal to find some alteration of function or structure of mitochondria, that might conceivably give some measure of support to the Warburg hypothesis, no substantial evidence has been found that would indicate a respiratory defect, either in the machinery of electron transport, or in the coupling of respiration with ATP formation, or in the unique presence or absence of mitochondrial enzymes or cofactors involved in electron transport” (Weinhouse 1976). Based on the foundational principles of evolutionary biology and in recognition that mitochondrial structure determines function (Darwin 1859; Lehninger 1964; Bhargava and Sch nell mann 2017; J. R. Friedman 2022; Brand et al. 1991; Brand and Nicholls 2011; Jezek et al. 2023; Miyazono et al. 2018; Sey- fried 2012f; Pedersen 1978), the information in Fig. 2 and Table 1 presents substantial evidence for abnormalities in the number, structure, and function of mitochondria in all major cancers (Seyfried et al. 2020). Moreover, no tumor has yet been described with a normal content or composition of car dio lip in, the inner mitochondrial membrane-enriched
可疑假设4:线粒体的数量、结构和功能在肿瘤组织与非癌组织中相似
Warburg提出癌细胞呼吸作用产生的ATP不足这一假说,主要基于正常组织与癌组织耗氧量和乳酸生成量的定量比较。Weinhouse在1976年的声明很大程度上否定了Warburg关于癌症中存在氧化磷酸化(OxPhos)障碍的证据:"尽管在Warburg假说提出后的半个世纪里,人们付出了巨大努力寻找线粒体功能或结构的某种改变,以期能为Warburg假说提供一定支持,但尚未发现任何实质性证据表明存在呼吸缺陷——无论是在电子传递机制、呼吸与ATP形成的偶联方面,还是在参与电子传递的线粒体酶或辅因子的独特存在或缺失方面"(Weinhouse 1976)。基于进化生物学基本原理,并认识到线粒体结构决定功能(Darwin 1859; Lehninger 1964; Bhargava和Schnellmann 2017; J. R. Friedman 2022; Brand等 1991; Brand和Nicholls 2011; Jezek等 2023; Miyazono等 2018; Seyfried 2012f; Pedersen 1978),图2和表1中的信息为所有主要癌症中线粒体数量、结构和功能的异常提供了实质性证据(Seyfried等 2020)。此外,尚未发现任何肿瘤具有正常的心磷脂含量或组成——这种富集于线粒体内膜...

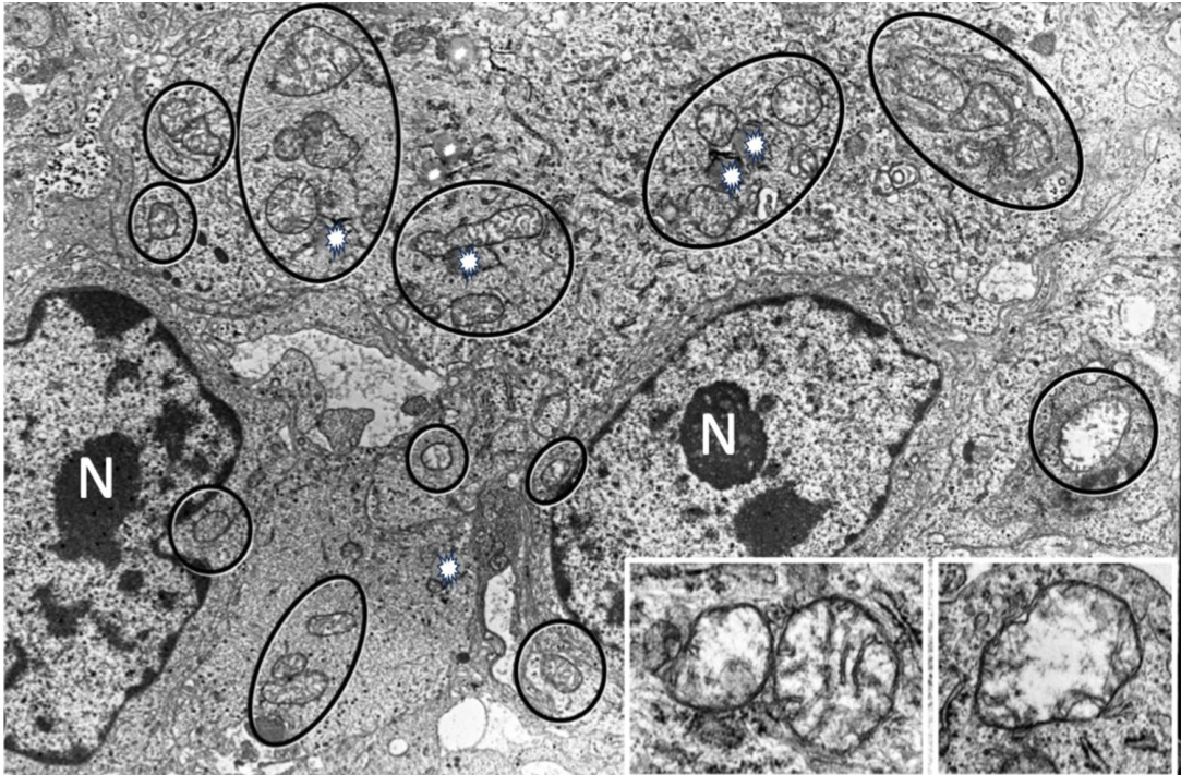
Fig. 2 Abnormal mitochondria and lipid droplets in glioblastoma. Transmission electron microscopy (TEM) image of human glioblastoma tumor biopsy showing cells with numerous mitochondria with total-subtotal cristo lysis and dysmorphic cristae (indicated by circles and ellipses). The presence of lipid droplets (indicated by white asterisks) is apparent and abundant. N indicates the nucleus. Magnification is at $4000\times$ and insert micrographs at $8000\mathrm{x}$ . (Adapted from J Electron (Tokyo). 2008; 57:33–39)
图 2: 胶质母细胞瘤中的异常线粒体和脂滴。人类胶质母细胞瘤活检样本的透射电子显微镜 (TEM) 图像显示,细胞中存在大量线粒体,这些线粒体呈现完全或部分嵴溶解及形态异常 (由圆形和椭圆形标示)。脂滴 (由白色星号标示) 明显且大量存在。N 表示细胞核。放大倍数为 $4000\times$,插图为 $8000\mathrm{x}$ 倍放大。(改编自 J Electron (Tokyo). 2008; 57:33–39)
Evidence for abnormalities in mitochondrial number, structure or function in cancer as described previously in Seyfried et al. 2020 phospholipid essential for the efficiency of OxPhos function (Kiebish et al. 2008; Ven kat raman et al. 2024; J. Zhang et al. 2016). Reductions have also been reported in neoplasms for mitochondrial coenzyme Q, which like car dio lip in, is also essential for OxPhos efficiency (Sugimura et al. 1962; Shichiri et al. 1968; Battino et al. 1990; Alcazar-Fabra et al. 2016). Hence, these findings considered collectively address the premature criticisms of Weinhouse in providing a significant measure of support for Warburg’s central hypothesis.
如Seyfried等人2020年所述,癌症中存在线粒体数量、结构或功能异常的迹象。心磷脂(phospholipid)作为氧化磷酸化(OxPhos)功能效率的关键要素,其水平在肿瘤中普遍降低 (Kiebish等2008;Venkatraman等2024;J. Zhang等2016)。研究还发现肿瘤中线粒体辅酶Q含量下降,该物质与心磷脂同样对氧化磷酸化效率至关重要 (Sugimura等1962;Shichiri等1968;Battino等1990;Alcazar-Fabra等2016)。这些证据共同回应了Weinhouse的早期质疑,为Warburg的核心假说提供了重要支持。
Questionable Assumption 5: Fatty acid oxidation can pro‑ vide sufficient ATP production through OxPhos in cancer cells Despite substantial evidence showing that fatty acids are not a major fuel for driving the growth of malignant tumor cells (Bloch-Franken thal et al. 1965; Holm et al. 1995; Ciaranfi 1938; Kuok et al. 2019; Lin et al. 2017; Ta and Sey- fried 2015), the presence of cytoplasmic lipid droplets in various cancers has been considered evidence to many investigators that cancer cells can use fatty acid beta-oxidation for energy production and growth (Seyfried et al. 2024). It is well known that hypoxia-induced inhibition of OxPhos efficiency elicits the rapid formation of cytoplasmic lipid droplets in normal cells by blocking fatty acid beta-oxidation, (Niu et al. 2017; Seyfried et al. 2024; Gordon et al. 1977; Bhargava and Sch nell mann 2017; Ralhan et al. 2021; S. J.
可疑假设5:脂肪酸氧化能为癌细胞提供足够的氧化磷酸化ATP产能
尽管大量证据表明脂肪酸并非恶性肿瘤细胞生长的主要能量来源 (Bloch-Frankenthal et al. 1965; Holm et al. 1995; Ciaranfi 1938; Kuok et al. 2019; Lin et al. 2017; Ta and Seyfried 2015),但多种癌症中存在的胞质脂滴仍被许多研究者视为癌细胞能通过脂肪酸β氧化获取能量并支持生长的证据 (Seyfried et al. 2024)。众所周知,缺氧通过抑制脂肪酸β氧化导致氧化磷酸化效率下降,从而引发正常细胞中胞质脂滴的快速形成 (Niu et al. 2017; Seyfried et al. 2024; Gordon et al. 1977; Bhargava and Schnellmann 2017; Ralhan et al. 2021; S. J.
Lee et al. 2013). Cytoplasmic lipid droplets also accumulate following induced abnormalities in mitochondria structure and function (Guerrieri et al. 2002; S. J. Lee et al. 2013; J. Liu et al. 2022a; Seyfried et al. 2024). If abnormalities in mitochondria structure and function have been documented in all major cancers, then cytoplasmic lipid droplets should also be observed in these same cancers. Indeed, cytoplasmic lipid droplets are seen in the most common cancer types where abnormalities in mitochondrial number, structure, and function are also seen (Tables 1 & 2). Electron microscopy images of lipid droplets from several different cancer types are presented in Figs. 2 & 3. The arrangement of the cancers in Table 1 with mitochondrial abnormalities is made to align with the arrangement of these same cancers with lipid droplet accumulation in Table 2 (Seyfried et al. 2020, 2024). The structural and functional abnormalities seen in cancer cell mitochondria would compromise OxPhos efficiency and thus contribute to the accumulation of triglyceride lipid droplets seen in cancer cell cytoplasm. Hence, the presence of cytoplasmic lipid droplets and the aerobic fermentation commonly seen in most malignant cancers can serve together as biomarkers for OxPhos inefficiency.
Lee等人 2013)。线粒体结构和功能诱导性异常后,细胞质脂滴也会累积 (Guerrieri等人 2002; S. J. Lee等人 2013; J. Liu等人 2022a; Seyfried等人 2024)。若所有主要癌症中都存在线粒体结构与功能异常,那么这些癌症中也应观察到细胞质脂滴。事实上,在最常见的癌症类型中,既可见线粒体数量、结构和功能异常,也可见细胞质脂滴 (表1和表2)。图2和图3展示了多种不同癌症类型中脂滴的电镜图像。表1中线粒体异常的癌症排序方式与表2中脂滴累积的同类癌症排序保持一致 (Seyfried等人 2020, 2024)。癌细胞线粒体表现出的结构和功能异常会损害氧化磷酸化 (OxPhos) 效率,从而导致癌细胞质中甘油三酯脂滴的累积。因此,细胞质脂滴的存在与大多数恶性肿瘤常见的有氧发酵现象,可共同作为氧化磷酸化效率低下的生物标志物。
Lipids can also act as uncoupling agents that produce oxidative stress in cells with inefficient or compromised
脂质还可以作为解偶联剂,在效率低下或受损的细胞中产生氧化应激
Evidence of lipid droplets in major cancers as previously described in Seyfried et al. 2024
Seyfried等人2024年所述主要癌症中存在脂滴的证据
OxPhos (Lehninger 1964; Zorov et al. 2014; Chance et al. 1979; Begriche et al. 2013; Massart et al. 2013; Ta and Seyfried 2015; Schonfeld and Reiser 2013). Lipid-induced uncoupling, however, might increase tumor growth by enhancing the use of ferment able fuels (glucose and glutamine) making it appear as if fatty acid beta-oxidation can provide sufficient ATP production through OxPhos for cancer cell growth (Zorov et al. 2014; Vozza et al. 2014; Giudetti et al. 2019; Seyfried et al. 2020). While some ATP production could be derived from fatty acid beta-oxidation in cancer cell mitochondria, it would be insufficient by itself to support the bio energetic requirements of cancer cells. It is also plausible that some fatty acid beta oxidation could be an apl erotic for alpha-keto glut a rate (through ox alo acetate) when glutamate exits the mitochondria for trans ami nation reactions. Furthermore, a risk of cell death from excessive production of fatty acid-derived reactive oxygen species (ROS) could be an outcome (Zorov et al. 2014). Hence, the data suggest that cancer cells store lipids in cytoplasmic droplets not as a fuel source for beta-oxidation, or for ATP production and growth, but rather as a protective mechanism to prevent oxidative stress and cell death and also to maintain cytoplasmic trans ami nations (Begriche et al. 2013; Massart et al. 2013; Seyfried et al. 2024; Ta and Seyfried 2015; Schonfeld and Reiser 2013).
氧化磷酸化 (OxPhos) (Lehninger 1964; Zorov et al. 2014; Chance et al. 1979; Begriche et al. 2013; Massart et al. 2013; Ta and Seyfried 2015; Schonfeld and Reiser 2013)。然而,脂质诱导的解偶联可能通过增强可发酵燃料(葡萄糖和谷氨酰胺)的利用来促进肿瘤生长,使得脂肪酸β-氧化看似能通过氧化磷酸化为癌细胞生长提供足够的ATP (Zorov et al. 2014; Vozza et al. 2014; Giudetti et al. 2019; Seyfried et al. 2020)。尽管癌细胞线粒体中部分ATP可能来源于脂肪酸β-氧化,但其本身不足以支撑癌细胞的生物能量需求。此外,当谷氨酸离开线粒体参与转氨基反应时,部分脂肪酸β-氧化可能通过草酰乙酸途径为α-酮戊二酸提供前体。更值得注意的是,过量脂肪酸衍生活性氧 (ROS) 导致的细胞死亡风险可能随之产生 (Zorov et al. 2014)。因此,数据表明癌细胞将脂质储存在胞质液滴中,并非作为β-氧化的燃料来源或ATP生产与生长的底物,而是作为防止氧化应激和细胞死亡的保护机制,同时维持胞质转氨基反应 (Begriche et al. 2013; Massart et al. 2013; Seyfried et al. 2024; Ta and Seyfried 2015; Schonfeld and Reiser 2013)。
Questionable Assumption 6. Elevated substrate level phosphor yl ation (SLP) is required for the rapid growth of non‑neoplastic cells While glucose and glutamine-driven SLP in the cytosol and in the mitochondria, respectively, are necessary and sufficient for driving dys regulated cancer cell growth in vivo and in vitro, lipid-driven OxPhos appears to be the predominant driver of regenerating liver cells and colon crypt cells in vivo (Choi and Hall 1974; Caruana et al. 1986; Holecek 1999; Hague et al. 1997). It is interesting, however, that lipid droplets and hepatocyte swelling appear prior to OxPhos-driven liver cell regeneration suggestive of a transient dependency on SLP for ATP production (Guerrieri et al. 2002; Hu et al. 2023). In contrast to the glucose-driven growth of hepatoma cells, glucose inhibits the growth of regenerating liver he pato cyte s (Capuano et al. 1997; Caru- ana et al. 1986; Burk et al. 1967). Although glucose and glu- tamine are also needed for regenerating liver cells, the levels are much less than those needed for proliferating cancer cells or normal cells grown in vitro (Z. Li et al. 2024). Unlike cancer cells where abnormalities in mitochondria structure and function are linked to a dependency on SLP for growth, the Crabtree effect can suppress OxPhos making the metabolism of non-neoplastic cells appear like that of tumor cells when grown in vitro (Clerici and Ciccarone 1965; Hague et al. 1997). Hence, caution is needed in recognizing the Crabtree effect as an in vitro artifact that enhances cytoplasmic SLP, while suppressing OxPhos efficiency, thus making energy metabolism in some cultured non-neoplastic cells appear like that seen in neoplastic tumor cells.
可疑假设6:非肿瘤细胞的快速生长需要提升底物水平磷酸化(SLP)
尽管葡萄糖和谷氨酰胺分别在细胞质和线粒体中驱动的SLP对于体内外失调的癌细胞生长是必要且充分的,但脂质驱动的氧化磷酸化(OxPhos)似乎是体内再生肝细胞和结肠隐窝细胞的主要驱动因素 (Choi and Hall 1974; Caruana et al. 1986; Holecek 1999; Hague et al. 1997)。然而有趣的是,脂滴和肝细胞肿胀出现在OxPhos驱动的肝细胞再生之前,这表明ATP生产对SLP存在短暂依赖性 (Guerrieri et al. 2002; Hu et al. 2023)。与葡萄糖驱动的肝癌细胞生长相反,葡萄糖会抑制再生肝细胞的生长 (Capuano et al. 1997; Caruana et al. 1986; Burk et al. 1967)。虽然再生肝细胞也需要葡萄糖和谷氨酰胺,但其需求量远低于增殖的癌细胞或体外培养的正常细胞 (Z. Li et al. 2024)。与癌细胞中线粒体结构和功能异常导致生长依赖SLP不同,克雷布斯效应(Crabtree effect)可以抑制OxPhos,使得体外培养的非肿瘤细胞代谢看起来像肿瘤细胞 (Clerici and Ciccarone 1965; Hague et al. 1997)。因此,需要谨慎地将克雷布斯效应视为一种体外假象——它增强了细胞质SLP,同时抑制了OxPhos效率,从而使某些培养的非肿瘤细胞的能量代谢表现出类似肿瘤细胞的特征。

Fig. 3 Lipid droplet accumulation in various malignant cancers. A, A large lipid droplet seen near abnormal mitochondria in glioblastoma (GBM). Mitochondria with cristae disarrangement and cristo lysis. The interaction between lipid droplets and mitochondria is described as lipid droplet-associated mitochondria. Contact site (arrows). LD: Lipid droplet. M: mitochondria. Staining was uranyl acetate/lead citrate. Ba $\mathrm{r}{=}2.34~\upmu\mathrm{m}$ . Reprinted with permission from (G. ArismendiMorillo 2011). B & C. Electron microscopy showing cytoplasmic lipid droplets in renal clear cell carcinoma $(\mathbf{B})$ and in colorectal a de no carcinoma (C). The lipid droplets are more electron dense in the colorectal a de no carcinoma sample than the renal cell carcinoma sample due to different processing. $\mathrm{Bars}{=}5.0~\upmu\mathrm{m}$ . Images are from (Straub et al. 2010), and reprinted with permission through Creative Commons. D & E. Cytoplasmic lipid droplets in breast carcinoma. Electron micrograph of globular lipid droplets at $8000\times\mathrm{for}\mathrm{~C~}$ and D. Image is from (Guan et al. 2011) and reprinted with permission through Creative Commons. F & G. Ultra structural observations of the lipid droplets in hepatoma showing close association of moderately os mio phil ic lipid globules with mitochondria displaying irregular cristae and often containing electron-dense inclusions (38,000x). Reprinted through Creative Commons from (Freitas et al. 1990)
图 3: 多种恶性肿瘤中的脂滴积累。A. 胶质母细胞瘤(GBM)异常线粒体附近可见大脂滴,线粒体嵴排列紊乱并出现溶解。脂滴与线粒体的相互作用被描述为脂滴相关线粒体接触位点(箭头所示)。LD: 脂滴;M: 线粒体。铀酰乙酸铅染色。比例尺=2.34µm。经授权改编自(G. ArismendiMorillo 2011)。B&C. 电镜显示肾透明细胞癌(B)和结直肠腺癌(C)中的胞质脂滴。由于处理方式不同,结直肠腺癌样本中的脂滴电子密度高于肾细胞癌样本。比例尺=5.0µm。图片来自(Straub等 2010),经知识共享许可授权使用。D&E. 乳腺癌胞质脂滴。球形脂滴的电镜照片(8000倍)。图片来自(Guan等 2011),经知识共享许可授权使用。F&G. 肝癌脂滴的超微结构观察,显示中度嗜锇脂球与线粒体密切关联,这些线粒体嵴不规则且常含电子致密包涵体(38,000倍)。经知识共享许可改编自(Freitas等 1990)
Questionable Assumption 7: Somatic and germline muta‑ tions are responsible for the origin of cancer Cancer (dysregulated cell growth) is widely considered a genetic disease based on findings of genomic abnormalities and vast numbers of mutations in oncogenes and tumor suppressor genes (Curtis 1965; Vogelstein et al. 2013; Stratton 2011; Hanahan and Weinberg 2011; Martinez-Jimenez et al. 2020; Nowell 2002; Gerstung et al. 2020). The National Cancer Institute has defined cancer as over 100 genetically distinct diseases thus solidifying the silent assumption that cancer is a genetic disease (http://www.cancer.gov/cancer topics/whatis-cancer) (Bell 1998). However, the absence of nuclear DNA mutations in some cancer cells (Brucher and Jamall 2016; Versteeg 2014; Son nen sche in and Soto 2000; Baker 2015; Greenman et al. 2007; Seyfried and Chino poul os 2021; Rodrigues et al. 2016), the presence of cancer driver gene mutations in non-neoplastic normal tissues (Yizhak et al. 2019; Yokoyama et al. 2019; Pandya et al. 2024; Cha- nock 2018; Martin core na et al. 2018; Martinez-Jimenez et al. 2020; Ciwinska et al. 2024), together with data from the nuclear/mitochondrial transfer experiments (Israel and Schaeffer 1987; 1988; M. J. Kim et al. 2018; Fu et al. 2019; F. C. Kuo et al. 2024; C. Sun et al. 2019; Elliott et al. 2012; Seyfried 2015; Seyfried and Chino poul os 2021; Kai pp are t tu et al. 2013; Yu et al. 2021), collectively represent irreconcil- able inconsistencies challenging the somatic mutation theory as a credible explanation for the origin of cancer (Soto and Son nen sche in 2004, 2011; Baker 2015; Seyfried and Chino- poulos 2021; Hanselmann and Welter 2016). Even a single observation incompatible with a theory should question the validity of the theory; see pages 73–77 in (Kuhn 1957).
可疑假设7:体细胞和种系突变是癌症的根源
癌症(细胞生长失调)被广泛认为是一种基因疾病,基于基因组异常以及癌基因和抑癌基因中大量突变的发现 (Curtis 1965; Vogelstein et al. 2013; Stratton 2011; Hanahan and Weinberg 2011; Martinez-Jimenez et al. 2020; Nowell 2002; Gerstung et al. 2020)。美国国家癌症研究所将癌症定义为100多种基因层面不同的疾病,从而强化了癌症是基因疾病的隐含假设 (http://www.cancer.gov/cancer-topics/whatis-cancer) (Bell 1998)。然而,某些癌细胞中不存在核DNA突变 (Brucher and Jamall 2016; Versteeg 2014; Sonnenschein and Soto 2000; Baker 2015; Greenman et al. 2007; Seyfried and Chinopoulos 2021; Rodrigues et al. 2016),非肿瘤正常组织中存在癌症驱动基因突变 (Yizhak et al. 2019; Yokoyama et al. 2019; Pandya et al. 2024; Chanock 2018; Martincorena et al. 2018; Martinez-Jimenez et al. 2020; Ciwinska et al. 2024),以及核/线粒体移植实验数据 (Israel and Schaeffer 1987; 1988; M. J. Kim et al. 2018; Fu et al. 2019; F. C. Kuo et al. 2024; C. Sun et al. 2019; Elliott et al. 2012; Seyfried 2015; Seyfried and Chinopoulos 2021; Kaipparettu et al. 2013; Yu et al. 2021),共同构成了无法调和的矛盾,挑战了体细胞突变理论作为癌症起源的可信解释 (Soto and Sonnenschein 2004, 2011; Baker 2015; Seyfried and Chinopoulos 2021; Hanselmann and Welter 2016)。即使只有一个与理论不符的观察结果,也应质疑该理论的有效性;参见 (Kuhn 1957) 第73-77页。
Land, Parada, and Weinberg showed that transforming primary embryonic fi br oblasts required the coopera- tion between the MYC and the RAS oncogenes (Land et al. 1983b). Immortal iz ation and transformation of non-malignant cells by mutant oncogene transduction has become a commonplace technique suggesting a direct experimental link between oncogene expression and tumor i geni city (Land et al. 1983a). However, the nuclear-cytoplasm transfer experiments demonstrated that oncogenic transformation is ultimately mediated by mitochondrial function, not by genetic drivers (Seyfried 2015; Seyfried and Chino poul os 2021).
Land、Parada和Weinberg发现,将原代胚胎成纤维细胞转化为癌细胞需要MYC和RAS癌基因的协同作用 (Land et al. 1983b)。通过突变癌基因转导使非恶性细胞永生化并转化已成为常规技术,这表明癌基因表达与肿瘤发生之间存在直接的实验联系 (Land et al. 1983a)。然而,核质转移实验证明,致癌转化的最终调控者是线粒体功能,而非遗传驱动因子 (Seyfried 2015; Seyfried和Chino poul os 2021)。
Cytoplasmic (mitochondrial) factors were able to initiate tumor i genesis in the absence of nuclear drivers, and nuclear drivers did not initiate tumor i genesis in the presence of normal cytoplasmic factors (Seyfried 2015; Israel and Schaeffer 1987; 1988; Seyfried and Chino poul os 2021). Moreover, the activation of the $K\cdot$ -ras G12V mutation causes OxPhos insufficiency, increased ROS production, and increased cytosolic substrate level phosphor yl ation; findings that are more in line with the mitochondrial metabolic theory than with the somatic mutation theory (Hu et al. 2012; Seyfried and Chino poul os 2021). Although specific somatic mutations may be considered secondary risk factors, they are neither necessary nor sufficient for tumor i genesis, while mitochon- drial insufficiency coupled to compensatory up regulation of cytosolic and mitochondrial SLP appear both necessary and sufficient for tumor i genesis, independent of mutational background (D. C. Lee et al. 2024).
细胞质(线粒体)因子能够在缺乏核驱动因素的情况下启动肿瘤发生,而核驱动因素在正常细胞质因子存在时无法引发肿瘤发生 (Seyfried 2015; Israel and Schaeffer 1987; 1988; Seyfried and Chino poul os 2021)。此外,$K\cdot$-ras G12V突变的激活会导致氧化磷酸化不足、活性氧(ROS)产生增加以及胞质底物水平磷酸化增强;这些发现更符合线粒体代谢理论而非体细胞突变理论 (Hu et al. 2012; Seyfried and Chino poul os 2021)。虽然特定体细胞突变可能被视为次要风险因素,但它们对肿瘤发生既非必要也不充分,而线粒体功能不足伴随胞质和线粒体底物水平磷酸化(SLP)的代偿性上调,则对肿瘤发生表现出必要且充分的条件,且与突变背景无关 (D. C. Lee et al. 2024)。
Additionally, no pathogenic germline cancer mutations have been found that are $100%$ penetrant (incomplete penetrance), meaning that most can be considered secondary risk factors rather than direct primary causes of cancer (Burgess et al. 2018; Marian 2014). Often, however, a gene with incomplete penetrance is not the primary cause of the disease, and likely, cancer-associated mutations (reported by the thousands) would follow this safe assumption. Among the highest penetrant are germline mutations in the $T p53$ gene (lifetime penetrance about $90%$ ) found in people with the Li-Fraumeni syndrome (Malkin 2011). Penetrance is generally less for other germline cancer mutations including those for breast cancer (Shiovitz and Korde 2015; Risch et al. 2001), ret in oblast oma (Otterson et al. 1997), Lynch syndrome (Wang et al. 2020), and most others (Qing et al. 2020). It is unclear how the somatic mutation theory could persist as a credible explanation for the origin of cancer considering the numerous inconsistencies with the theory (Son nen sche in and Soto 2000; Soto and Son nen sche in 2004; Seyfried and Chino poul os 2021). It is also interesting that elevated ROS production and abnormalities in mitochondrial structure and function have been linked to several of the known cancer germline mutations e.g., the Li-Fraumeni syndrome (Y. Y. Kim et al. 2021; Matoba et al. 2006), the BRCA1 breast cancer (Q. Chen et al. 2020; Privat et al. 2014), ret in oblast oma (Nicolay et al. 2015), and the Lynch syndrome (Rashid et al. 2019). Sequencing studies also show that cells with alterations in key driver genes, such as Tp53, are abundant in tissues of healthy individuals further complicating the association of driver gene mutations to neoplasia (Ciwinska et al. 2024). Similar to germline mutations that alter mitochondrial function, mutations in mitochondrial DNA (mtDNA) have also been found in some cancers leading Wallace and co-workers to suggest that cancer can best be defined as a type of mitochondrial disease (Petros et al. 2005). It should be recognized, however, that only certain mtDNA mutations are pathological or linked to neoplasia (Kiebish and Seyfried 2005; Cruz-Bermudez et al. 2015; Schon et al. 2012). As all major cancers express abnormalities in mitochondria structure and function, regardless of the presence or absence of gene mutations, we consider OxPhos inefficiency with compensatory SLP as the common metabolic phenotype of all major cancers.
此外,尚未发现具有$100%$外显率(不完全外显)的致病性种系癌症突变,这意味着大多数突变可被视为次要风险因素而非癌症的直接主要诱因 (Burgess et al. 2018; Marian 2014)。然而,不完全外显的基因通常并非疾病的主因,且数以千计的癌症相关突变很可能符合这一安全假设。外显率最高的是Li-Fraumeni综合征患者中发现的$Tp53$基因种系突变(终身外显率约$90%$)(Malkin 2011)。其他种系癌症突变的外显率普遍较低,包括乳腺癌 (Shiovitz and Korde 2015; Risch et al. 2001)、视网膜母细胞瘤 (Otterson et al. 1997)、林奇综合征 (Wang et al. 2020) 及大多数其他癌症 (Qing et al. 2020)。考虑到体细胞突变理论与诸多观察结果的不一致性,该理论如何持续作为癌症起源的合理解释尚不明确 (Sonnenschein and Soto 2000; Soto and Sonnenschein 2004; Seyfried and Chinopoulos 2021)。值得注意的是,活性氧(ROS)水平升高及线粒体结构与功能异常,已被证实与多种已知癌症种系突变相关,例如Li-Fraumeni综合征 (Y. Y. Kim et al. 2021; Matoba et al. 2006)、BRCA1乳腺癌 (Q. Chen et al. 2020; Privat et al. 2014)、视网膜母细胞瘤 (Nicolay et al. 2015) 和林奇综合征 (Rashid et al. 2019)。测序研究还显示,健康个体组织中存在大量关键驱动基因(如Tp53)突变的细胞,这使得驱动基因突变与肿瘤发生的关联更加复杂化 (Ciwinska et al. 2024)。与改变线粒体功能的种系突变类似,线粒体DNA(mtDNA)突变也在某些癌症中被发现,这促使Wallace团队提出癌症可被定义为一种线粒体疾病 (Petros et al. 2005)。但需注意的是,仅特定mtDNA突变具有致病性或与肿瘤相关 (Kiebish and Seyfried 2005; Cruz-Bermudez et al. 2015; Schon et al. 2012)。由于所有主要癌症均表现出线粒体结构与功能异常(无论是否存在基因突变),我们认为氧化磷酸化(OxPhos)效率低下伴随补偿性糖酵解(SLP)增强,是所有主要癌症的共同代谢表型。
Cancer as a mitochondrial metabolic disease
癌症作为一种线粒体代谢疾病
We, like Warburg, consider the origin of energy (ATP) production as the central issue in cancer. Without energy no cell can remain viable or synthesize metabolites regardless of gene mutations or their connected signaling cascades. Major consumers of cellular energy are the membrane pumps including the sodium–potassium, the calcium, and the magnesium ATPases (Meyer et al. 2022; Veech et al. 2019; Hochachka and Somero 2002; Seyfried 2012c). Decreased ATP production in a cell by any means will cause a loss of $\mathrm{K+}$ , a gain of $\mathrm{Na+}$ and $\mathrm{Ca+}$ and, if persistent, to decreased voltage, altered volume, and cell death (Veech 1986). The energy of ATP hydrolysis is similar whether produced by cytosolic SLP in red blood cells, which lack mitochondria, or by OxPhos in mitochondrial containing tissues and is maintained in a very narrow band between − 56 and $-59\mathrm{kJ}/$ mol. Veech described the $\Delta\mathrm{G}'$ of ATP hydrolysis as the “still point in the turning world” (Veech et al. 2019). Although redox states for NAD(P) can vary appreciably, the ΔG’ of ATP remains within these narrow limits and underlies both genetic and metabolic processes (Veech et al. 2019). These processes are embodied in the second law of thermo dyna mics (Schneider and Sagan 2005).
与Warburg一样,我们认为能量(ATP)产生的起源是癌症的核心问题。无论基因突变或其相关信号级联如何,没有能量任何细胞都无法保持活力或合成代谢物。细胞能量的主要消耗者是膜泵,包括钠-钾泵、钙泵和镁ATP酶(Meyer等2022;Veech等2019;Hochachka和Somero 2002;Seyfried 2012c)。细胞中ATP产生的任何减少都会导致$\mathrm{K+}$流失、$\mathrm{Na+}$和$\mathrm{Ca+}$增加,如果持续下去,会导致电压降低、体积改变和细胞死亡(Veech 1986)。无论是缺乏线粒体的红细胞中通过胞质SLP产生的ATP水解能,还是含有线粒体的组织中通过氧化磷酸化产生的ATP水解能,其能量都维持在$-56$至$-59\mathrm{kJ}/$mol的极窄范围内。Veech将ATP水解的$\Delta\mathrm{G}'$描述为"转动世界中的静止点"(Veech等2019)。尽管NAD(P)的氧化还原状态可能有明显变化,但ATP的ΔG'仍保持在这些狭窄的限度内,并构成了遗传和代谢过程的基础(Veech等2019)。这些过程体现在热力学第二定律中(Schneider和Sagan 2005)。
According to traditional biochemistry, there are two primary mechanisms for producing cellular ATP. These include OxPhos and substrate level phosphor yl ation (SLP). OxPhos produces the majority of cellular ATP in normal cells through the F1-F0 ATPase which is linked to the mitochondrial electrochemical gradient. The amount of ATP produced through OxPhos is also linked to the structure and the protein/lipid composition of the cristae and the inner and outer mitochondrial membranes (Lehninger 1964; Zick et al. 2009; Cogliati et al. 2016; Colina-Tenorio et al. 2020; Glancy et al. 2020; Wallace 2005; Kiebish et al. 2008; G. Arismendi-Morillo et al. 2017; G. Arismendi-Morillo et al. 2012). SLP occurs at the kinase reactions in the pay-of f phase of glycolysis in the cytosol, and through the succinylCoA synthetase reaction in the TCA cycle in the mitochondrial matrix. The succinyl-CoA synthetase reaction involves the transfer of a phosphate group from an amino acid of the synthetase itself to ADP (or GDP) to form ATP (or GTP) (Lancaster and Graham 2023; Majumdar et al. 1991; Lambeth et al. 2004). Pyruvate and succinate, together with ATP, are the products of the cytosolic pyruvate kinase M1 and the mitochondrial succinyl-CoA synthetase reactions, respectively. Under normal physiological conditions, the pyruvate is metabolized to acetyl CoA (and/or ox alo acetate) while the succinate is metabolized to fumarate. Both metabolites are fully oxidized to $\mathrm{CO}_{2}$ and water through metabolic reactions occurring within the TCA cycle of the mitochondrial matrix. Under hypoxic conditions, however, most of the pyruvate is metabolized to lactate while some of the succinate leaves the TCA cycle as both metabolites are produced as waste products of glucose-driven glycolysis and the glutamine-driven glut a minas e pathways, respectively. Hence, the mechanism of ATP production in the presence of oxygen is the predominant difference between cancerous cells and non-cancerous cells.
根据传统生物化学理论,细胞ATP生成主要有两种机制:氧化磷酸化(OxPhos)和底物水平磷酸化(SLP)。在正常细胞中,大部分ATP通过连接线粒体电化学梯度的F1-F0 ATP酶以OxPhos方式产生。OxPhos产生的ATP量还与线粒体嵴的结构、蛋白质/脂质组成及内外膜特性相关[Lehninger 1964; Zick et al. 2009; Cogliati et al. 2016; Colina-Tenorio et al. 2020; Glancy et al. 2020; Wallace 2005; Kiebish et al. 2008; G. Arismendi-Morillo et al. 2017; G. Arismendi-Morillo et al. 2012]。SLP则发生在细胞质糖酵解" payoff阶段"的激酶反应中,以及线粒体基质TCA循环的琥珀酰CoA合成酶反应中。琥珀酰-CoA合成酶反应会将合成酶自身氨基酸的磷酸基团转移至ADP(或GDP)形成ATP(或GTP)[Lancaster and Graham 2023; Majumdar et al. 1991; Lambeth et al. 2004]。
丙酮酸和琥珀酸分别作为细胞质丙酮酸激酶M1和线粒体琥珀酰-CoA合成酶反应的产物,与ATP共同生成。正常生理条件下,丙酮酸代谢为乙酰CoA(和/或草酰乙酸),琥珀酸则代谢为延胡索酸。这两种代谢物通过线粒体基质TCA循环中的反应被完全氧化为$\mathrm{CO}_{2}$和水。而在缺氧条件下,大部分丙酮酸会代谢为乳酸,部分琥珀酸则作为葡萄糖驱动糖酵解和谷氨酰胺驱动谷氨酰胺酶途径的代谢废物脱离TCA循环。因此,有氧条件下的ATP生成机制是癌细胞与非癌细胞之间的本质差异。
The linkage of SLP to cancer malignancy is shown in Fig. 4, while Fig. 5 illustrates the synergy between the glycolysis and the glut amino lysis pathways, which facilitate biomass synthesis and ATP production in brain tumor cells. Cancer is rare in cells that cannot chronically replace ATP production through OxPhos with ATP production through SLP, e.g., post-mitotic cardiac myocytes and brain neurons. While these cells can rapidly upregulate ATP production through SLP under acute oxygen deficiency, e.g., cardiac arrest or epileptic seizures, they cannot sustain this ATP production for more than a few minutes without suffering catastrophic death thus preventing a protracted transition to substrate level phosphor yl ation. In contrast to the transient accumulation of lactate and succinate under hypoxia in normal cells, the waste products of glucose and glutamine fermentation continue to accumulate in cancer cells even in the presence of oxygen. The persistent extracellular accumulation of lactate and succinate together with the cytoplasmic accumulation of lipid droplets in cancer cells result in large part from the well documented abnormalities in the number, structure, and function of mitochondria. It should also be recognized that the mitochondrial proton motive force controls calcium signaling, which regulates cyclins, the cell cycle, and the quiescent or differentiated state of the cell (Arciuch et al. 2012; Casanova et al. 2023; Horbay and Bilyy 2016; Kumar Sharma et al. 2022; Osellame et al. 2012; Zheng et al. 2023). In other words, it is the efficiency of OxPhos that maintains the differentiated state of somatic cells while the chronic loss of OxPhos efficiency leads to SLP-driven dys regulated cell growth, i.e. neoplasia. Just as proliferation is the default state of metazoan cells, SLP is the default energetic state of cells under reduced or absent oxygen (Szent-Gyorgyi 1977; Soto and Son nen sche in 2004). We also solved Szent-Gyorgyi’s “oncogenic paradox” in showing that chronic OxPhos insufficiency coupled to increased SLP is the common path o physiological mechanism linking malignant transformation to a broad range of unspecific influences including age, intermittent hypoxia, carcinogens, localized and systemic inflammation, radiation, rare germline mutations, oncogenic viruses, etc. (Szent-Gyorgyi 1977, Seyfried 2012e, Seyfried, Flores et al. 2014, Seyfried and Chino poul os 2021). Hence, a greater dependency on substrate level phosphor yl ation than on OxPhos for energy is the path o physiological phenotype common to all major cancers.
SLP与癌症恶性程度的关联如图4所示,而图5则展示了糖酵解与谷氨酰胺分解途径之间的协同作用,这些途径促进了脑肿瘤细胞中的生物质合成和ATP生成。在那些不能长期通过SLP替代OxPhos产生ATP的细胞中(例如有丝分裂后的心肌细胞和脑神经元),癌症很少发生。虽然这些细胞在急性缺氧情况下(如心脏骤停或癫痫发作)能迅速上调SLP产生ATP,但若持续超过几分钟就会导致灾难性死亡,从而阻止向底物水平磷酸化的长期转变。与正常细胞在缺氧条件下乳酸和琥珀酸的短暂积累不同,即使在有氧条件下,癌细胞中葡萄糖和谷氨酰胺发酵的废物仍会持续积累。癌细胞中乳酸和琥珀酸的持续细胞外积累以及脂滴的胞质积累,很大程度上源于线粒体数量、结构和功能的异常(已有充分文献记载)。还应认识到,线粒体质子动力控制着钙信号传导,进而调控细胞周期蛋白、细胞周期以及细胞的静息或分化状态 (Arciuch et al. 2012; Casanova et al. 2023; Horbay and Bilyy 2016; Kumar Sharma et al. 2022; Osellame et al. 2012; Zheng et al. 2023)。换言之,正是OxPhos的效率维持着体细胞的分化状态,而OxPhos效率的长期丧失会导致SLP驱动的细胞生长失调(即肿瘤形成)。正如增殖是多细胞生物细胞的默认状态,SLP是细胞在缺氧或缺氧情况下的默认能量状态 (Szent-Gyorgyi 1977; Soto and Sonnenschein 2004)。我们还解决了Szent-Gyorgyi提出的"致癌悖论",证明慢性OxPhos不足伴随SLP增加是将恶性转化与多种非特异性影响因素(包括年龄、间歇性缺氧、致癌物、局部和全身性炎症、辐射、罕见种系突变、致癌病毒等)联系起来的共同病理生理机制 (Szent-Gyorgyi 1977, Seyfried 2012e, Seyfried, Flores et al. 2014, Seyfried and Chinopoulos 2021)。因此,相比OxPhos,更依赖底物水平磷酸化获取能量是所有主要癌症共有的病理生理表型。
Therapeutic implications
治疗意义
According to the American Cancer Society almost 612,000 people are projected to die from cancer in the US in 2024, which amounts to about 1,700 people dying/day or about 70 people dying/hour (Siegel et al. 2024). The anti-smoking campaign of the 1990’s was largely responsible for preventing the number of yearly cancer deaths from being even higher (Siegel et al. 2024). The failure to reduce cancer deaths results in large part from the persistent belief that cancer is a genetic disease according to the somatic mutation theory (Soto and Son nen sche in 2004; Seyfried and Chi- nopoulos 2021). The “Press Pulse” therapeutic strategy for cancer management was developed based on the new understanding that cancer is a disorder of mitochondrial energy metabolism (Seyfried et al. 2017; Duraj et al. 2024). The strategy involves the simultaneous restriction of glucose and glutamine while the body is placed in a state of nutritional ketosis.
根据美国癌症协会的数据,预计2024年美国将有近61.2万人死于癌症,相当于每天约1700人死亡或每小时约70人死亡 (Siegel et al. 2024)。1990年代的反吸烟运动在很大程度上防止了每年癌症死亡人数的进一步上升 (Siegel et al. 2024)。癌症死亡率未能降低的主要原因在于人们长期认为癌症是一种基因疾病,这一观点源自体细胞突变理论 (Soto and Sonnenschein 2004; Seyfried and Chinopoulos 2021)。基于癌症是线粒体能量代谢紊乱这一新认识,研究人员开发了"压力-脉冲"癌症治疗策略 (Seyfried et al. 2017; Duraj et al. 2024)。该策略要求在身体处于营养性酮症状态时,同时限制葡萄糖和谷氨酰胺的摄入。
The ketone body, beta-hydroxy but y rate, has been designated a “super fuel” because it, a) does not uncouple the electrochemical gradient like fatty acids and thus increases the $\Delta\mathrm{G}'$ of ATP hydrolysis, b) has more carbon-hydrogen bonds than pyruvate, c) produces few oxygen radicals during its metabolism, and d) can replace glucose as an energy source for the brain and other organs, (Veech et al. 2001; Veech 2004; Cahill and Veech 2003). Indeed, Drenick and co-workers showed that glucose concentrations as low as 0.5 mmoles/liter $(9\mathrm{mg}/100\mathrm{ml})$ ) failed to precipitate hypoglycemic reactions in insulin-treated subjects when their circulating levels of beta-hydroxy but y rate was elevated (Drenick et al. 1972). The whole-body transition from glucose to ketone bodies will reduce availability of glucose to both the glycolytic and pentose phosphate pathways while also consuming some of the CoA needed for driving mSLP (Figs. 1 & 5). Hence, the reduction of circulating glucose and elevation of ketone bodies will deprive tumor cells of energy, and the glucose carbons needed for the synthesis of growth metabolites (Boros et al. 1998; Mazat 2021).
酮体β-羟基丁酸盐被称为"超级燃料",因为其具有以下特性:a) 不像脂肪酸那样解耦电化学梯度,从而增加ATP水解的$\Delta\mathrm{G}'$;b) 比丙酮酸具有更多碳氢键;c) 代谢过程中产生的氧自由基极少;d) 可替代葡萄糖作为大脑和其他器官的能量来源 (Veech et al. 2001; Veech 2004; Cahill and Veech 2003)。Drenick及其同事的研究表明,当β-羟基丁酸盐循环水平升高时,即使葡萄糖浓度低至0.5 mmol/L $(9\mathrm{mg}/100\mathrm{ml})$,接受胰岛素治疗的患者也不会出现低血糖反应 (Drenick et al. 1972)。从葡萄糖到酮体的全身性转换将减少糖酵解和磷酸戊糖途径的葡萄糖供应,同时消耗部分驱动mSLP所需的CoA (图1和图5)。因此,循环葡萄糖的减少和酮体的升高将剥夺肿瘤细胞的能量供应,以及生长代谢物合成所需的葡萄糖碳源 (Boros et al. 1998; Mazat 2021)。
Press-pulse ketogenic metabolic therapy (KMT), involving the simultaneous targeting of cytosolic and mitochondrial SLP in tumor cells while enhancing OxPhos efficiency in non tumor ige nic normal body cells, offers a therapeutic strategy for managing most cancers (Winter et al. 2017; Seyfried et al. 2017; Duraj et al. 2024). KMT will also reduce the lactate/succinate-acidification of the tumor
压脉式生酮代谢疗法 (KMT) 通过同时靶向肿瘤细胞的胞质和线粒体底物水平磷酸化 (SLP) ,同时增强非致瘤性正常体细胞的氧化磷酸化效率,为大多数癌症提供了治疗策略 (Winter et al. 2017; Seyfried et al. 2017; Duraj et al. 2024) 。该疗法还能降低肿瘤组织的乳酸/琥珀酸酸化程度


Fig. 4 The origin of cancer as a mitochondrial metabolic disease. Cancer can arise from any number of unspecific risk factors in line with Szent-Gyorgyi’s “Oncogenic Paradox” (Szent-Gyorgyi 1977). Any one or combination of these oncogenic risk factors could cause OxPhos inefficiency thus increasing the production of reactive oxygen species (ROS), which would ultimately link to recognized hallmarks of cancer (Seyfried et al. 2014; Hanahan and Weinberg 2011; Seyfried and Shelton 2010; Seyfried and Chino poul os 2021). The process by which each of these unspecific risk factors, which can also include recent findings on micro plastics and forever chemicals (perflu oro octane sulfonate, per- and poly flu oro alkyl substances, etc.) can cause chronic OxPhos insufficiency (Seyfried 2012b; d; e; g; Seyfried and Chinopoulos 2021; S. Li et al. 2023; Y. Liu et al. 2023; Hofmann et al. 2023). Excessive production of ROS ( $\mathrm{OH^{-}}$ and $\mathrm{O}_{2}\cdot^{-})$ is carcinogenic and mutagenic and would cause significant damage to lipids, proteins, and nucleic acids in both the mitochondria and in the nucleus (Zhu et al. 2018). Nuclear genomic instability, including the vast array of somatic mutations and aneuploidy, would arise as a consequence of ROS damage together with chronic extracellular acidification and inflammation through a bidirectional interaction between the provocative agent and cells within a tissue (Sonugur and Akbulut 2019; Seyfried 2012a; Seyfried et al. 2014, 2017; Seoane et al. 2011). Indeed, mutations in the $p53$ tumor suppressor gene and genomic instability have been linked directly to OxPhos insufficiency and mitochondrial ROS production in cancer stem cells (Matoba et al. 2006; Bartesaghi et al. 2015). Fermentation metabolism and ROS formation underlie the hyper proliferation of tumor cells as efficient OxPhos is necessary for maintaining the differentiated state of cells (see text for details). A gradual reduction in OxPhos efficiency would elicit a mitochondrial stress response through retrograde (RTG) signaling (Seyfried 2012g; Srinivasan et al. 2016; Ryan and Hoogenraad 2007; Biswas et al. 2008). RTG activation would cause persistent expression of various oncogenes, e.g., Hif-1a and c-Myc, that upregulate receptors and enzymes in both the glycolysis and the glutaminolysis pathways necessary to compensate for OxPhos insufficiency and to maintain the viability of incipient cancer cells. (Wise et al. 2008; Dang et al. 2009; Dang and Semenza 1999; D. Yang and Kim 2019; Semenza 2017; Srinivasan et al. 2016). Oncogenes therefore become fac il it at or s of increased cytosolic and mitochondrial substrate level phosphor yl ation (SLP) that drive dys regulated growth in cells with insufficient OxPhos. Glutamine-driven ATP production through mitochondrial SLP in the glut amino lysis pathway will compensate for lost ATP production through OxPhos or from PKM2 expression in the glycolytic pathway (Seyfried et al. 2020; Chino poul os 2020; D. C. Lee et al. 2024). The path to carcinogen es is will occur only in those cells capable of sustaining energy production through SLP. Despite the shift from respiration to SLP, the ∆G′ATP hydrolysis remains constant at approximately $-56\mathrm{kJ}$ indicating that the energy from SLP compensates for the reduced energy from OxPhos. Metastasis arises from respiratory damage in cells of myeloid/macrophage origin as described in the text. Tumor progression and degree of malignancy is linked directly to ultra structure abnormalities (mitochondrial cristolysis) and to the energy transition from reduced OxPhos to increased cytosolic and mitochondrial SLP (Seyfried et al. 2020; D. C. Lee et al. 2024; Ravasz et al. 2024; Doczi et al. 2023; G. ArismendiMorillo et al. 2017). The t represents the fission–fusion-mitophagy cycle that modulates the mitochondrial network and is disrupted in cancer (Boulton and Caino 2022; H. Yang et al. 2021). The T signifies an arbitrary threshold when the shift from OxPhos to SLP would become irreversible. The linkage of SLP to malignancy is as solid as that of gravity to the redshift (Seyfried et al. 2020). This scenario links major cancer hallmarks to an extra chromosomal and epigenetic respiratory dysfunction thus solving the oncogenic paradox. Reprinted with modifications from (Seyfried and Shelton 2010; Seyfried et al. 2020). Figure created using BioRender
图 4: 癌症作为线粒体代谢疾病的起源。根据Szent-Gyorgyi的"致癌悖论"(Szent-Gyorgyi 1977),癌症可能源于任何数量的非特异性风险因素。这些致癌风险因素中的任何一种或组合都可能导致氧化磷酸化(OxPhos)效率低下,从而增加活性氧(ROS)的产生,最终与公认的癌症特征相关联(Seyfried等2014;Hanahan和Weinberg 2011;Seyfried和Shelton 2010;Seyfried和Chinopoulos 2021)。这些非特异性风险因素(包括最近关于微塑料和永久化学品[全氟辛烷磺酸(PFOS)、全氟和多氟烷基物质(PFAS)等]的发现)导致慢性OxPhos不足的过程(Seyfried 2012b,d,e,g;Seyfried和Chinopoulos 2021;S.Li等2023;Y.Liu等2023;Hofmann等2023)。ROS($\mathrm{OH^{-}}$和$\mathrm{O}_{2}\cdot^{-}$)的过量产生具有致癌和致突变性,会对线粒体和细胞核中的脂质、蛋白质和核酸造成重大损害(Zhu等2018)。核基因组不稳定性(包括大量体细胞突变和非整倍体)将作为ROS损伤的结果出现,同时通过刺激物与组织内细胞的双向相互作用导致慢性细胞外酸化和炎症(Sonugur和Akbulut 2019;Seyfried 2012a;Seyfried等2014,2017;Seoane等2011)。事实上,$p53$肿瘤抑制基因的突变和基因组不稳定性已直接与癌症干细胞中OxPhos不足和线粒体ROS产生相关联(Matoba等2006;Bartesaghi等2015)。发酵代谢和ROS形成是肿瘤细胞过度增殖的基础,因为有效的OxPhos对于维持细胞分化状态是必要的(详见正文)。OxPhos效率的逐渐降低会通过逆行(RTG)信号引发线粒体应激反应(Seyfried 2012g;Srinivasan等2016;Ryan和Hoogenraad 2007;Biswas等2008)。RTG激活会导致各种癌基因(如Hif-1α和c-Myc)的持续表达,这些癌基因上调糖酵解和谷氨酰胺分解途径中的受体和酶,以补偿OxPhos不足并维持初期癌细胞的活力(Wise等2008;Dang等2009;Dang和Semenza 1999;D.Yang和Kim 2019;Semenza 2017;Srinivasan等2016)。因此,癌基因成为促进细胞质和线粒体底物水平磷酸化(SLP)增加的因子,从而驱动OxPhos不足细胞的失调生长。谷氨酰胺分解途径中通过线粒体SLP产生的ATP将补偿因OxPhos或糖酵解途径中PKM2表达而损失的ATP产量(Seyfried等2020;Chinopoulos 2020;D.C.Lee等2024)。致癌过程仅发生在那些能够通过SLP维持能量产生的细胞中。尽管从呼吸作用转向SLP,∆G'ATP水解仍保持恒定在约$-56\mathrm{kJ}$,表明SLP的能量补偿了OxPhos减少的能量。转移源于髓系/巨噬细胞来源细胞的呼吸损伤(如正文所述)。肿瘤进展和恶性程度直接与超微结构异常(线粒体嵴溶解)以及从减少的OxPhos向增加的细胞质和线粒体SLP的能量转变相关(Seyfried等2020;D.C.Lee等2024;Ravasz等2024;Doczi等2023;G.Arismendi-Morillo等2017)。t代表调节线粒体网络并在癌症中被破坏的裂变-融合-线粒体自噬周期(Boulton和Caino 2022;H.Yang等2021)。T表示从OxPhos转向SLP变得不可逆转的任意阈值。SLP与恶性肿瘤的关联如同重力与红移的关联一样牢固(Seyfried等2020)。这种情况将主要癌症特征与染色体外和表观遗传呼吸功能障碍联系起来,从而解决了致癌悖论。经修改后转载自(Seyfried和Shelton 2010;Seyfried等2020)。图使用BioRender创建。

Fig. 5 High-throughput synergy between the glycolysis and the glutamino lysis pathways drive the dys regulated growth of glioma cells. Glucose (blue) is metabolized through the 10-step glycolytic pathway and contributes to several pro-biomass pathways such as: nucleotide synthesis via the pentose phosphate pathway (PPP), diverting fructose-6-phosphate (F-6-P) toward the hexosamine pathway, and glycine to produce glut at hi one. Some glucose carbons are diverted to synthesize fatty acids in normoxia. Glucose carbons that reach pyruvate kinase are exported from the cell as lactate. Glutamine (green) enters the glut amino lysis pathway. Glutamine is essential for producing glucosamine-6-phosphate, a key intermediate in the hexosamine pathway that contributes to $\mathrm{N}_{-}$ and O-linked g lycos yl ation. The amide nitrogen released from the conversion of glutamine to glutamate contributes to nucleotide synthesis. Glutamate is combined with glycine and cysteine to form glut at hi one to act as an antioxidant. The remain
图 5: 糖酵解与谷氨酰胺分解途径之间的高通量协同作用驱动胶质瘤细胞的异常生长。葡萄糖(蓝色)通过10步糖酵解途径代谢,并参与多个促生物质合成途径,如:通过磷酸戊糖途径(PPP)合成核苷酸、将果糖-6-磷酸(F-6-P)转向己糖胺途径、以及生成甘氨酸以产生谷胱甘肽。在常氧条件下,部分葡萄糖碳被分流用于脂肪酸合成。到达丙酮酸激酶的葡萄糖碳以乳酸形式排出细胞。谷氨酰胺(绿色)进入谷氨酰胺分解途径,对生成葡萄糖胺-6-磷酸(己糖胺途径的关键中间体,参与N-连接和O-连接糖基化)至关重要。谷氨酰胺转化为谷氨酸过程中释放的酰胺氮参与核苷酸合成。谷氨酸与甘氨酸、半胱氨酸结合形成具有抗氧化作用的谷胱甘肽。剩余...
micro environment, which can block the efficacy of immuno therapies (Heuser et al. 2023). The glucose/ketone index (GKI) was developed for estimating the degree of therapeutic ketosis by measuring the mM ratio of glucose to ketones (beta-hydroxy but y rate) in the circulation (Mei den bauer et al. 2015; Duraj et al. 2024). Therapeutic ketosis will enhance OxPhos efficiency in normal cells while lowering glucose availability to tumor cells. In general, the lower is the GKI the slower is the tumor growth (Seyfried et al. 2003; Seyfried et al. 2021; Akgoc et al. 2022). This is important because aggressive tumor growth and poor patient survival ing glutamate is converted first to alpha-keto glut a rate (a-KG). a-KG will divert in the reductive TCA cycle through citrate and be used for fatty acid synthesis in hypoxia (Ta and Seyfried 2015). Otherwise, a-KG follows the oxidative pathway and is converted to succinylCoA. Succinyl-CoA is the substrate for mitochondrial substate level phosphor yl ation (mSLP) that produces ATP and succinate (Chinopoulos and Seyfried 2018). Succinate has been shown to stabilize HIF1a via inhibition of prolyl hydroxyl as e (Selak et al. 2005), a key protein that up regulates glycolysis. The excretion of both succinate and glutamate into the extracellular matrix, together with lactate excretion, contribute to the acidification of the micro environment. All major hallmarks of cancer can be linked to chronic OxPhos insufficiency coupled to the protracted up regulation of SLP (Seyfried and Chino poul os 2021). Figure created using BioRender (D. C. Lee et al. 2024)
微环境会阻碍免疫疗法的疗效 (Heuser et al. 2023)。葡萄糖/酮体指数 (GKI) 通过测量循环系统中葡萄糖与酮体 (β-羟基丁酸) 的毫摩尔比值来评估治疗性酮症的程度 (Meidenbauer et al. 2015; Duraj et al. 2024)。治疗性酮症能提高正常细胞的氧化磷酸化 (OxPhos) 效率,同时降低肿瘤细胞的葡萄糖可用性。一般而言,GKI值越低,肿瘤生长越缓慢 (Seyfried et al. 2003; Seyfried et al. 2021; Akgoc et al. 2022)。这一点至关重要,因为侵袭性肿瘤生长与患者生存率低下相关。谷氨酸首先转化为α-酮戊二酸 (a-KG),在缺氧条件下,a-KG会通过柠檬酸进入还原性TCA循环,用于脂肪酸合成 (Ta and Seyfried 2015)。否则,a-KG将遵循氧化途径转化为琥珀酰辅酶A。琥珀酰辅酶A是线粒体底物水平磷酸化 (mSLP) 的底物,可产生ATP和琥珀酸盐 (Chinopoulos and Seyfried 2018)。研究表明,琥珀酸盐通过抑制脯氨酰羟化酶来稳定HIF1α (Selak et al. 2005),该酶是上调糖酵解的关键蛋白。琥珀酸盐和谷氨酸与乳酸一起分泌到细胞外基质中,导致微环境酸化。癌症的所有主要特征都与慢性氧化磷酸化不足以及持续上调的底物水平磷酸化有关 (Seyfried and Chinopoulos 2021)。图表使用BioRender制作 (D. C. Lee et al. 2024)
are linked to elevated blood glucose levels in a variety of cancers (McGirt et al. 2008; Ramteke et al. 2019; P. Zhang et al. 2022; Santos and Hussain 2020). KMT can also be used together with other therapies, including standards of care, if efficacy can be maintained with no or minimal toxicity (Duraj et al. 2024; K iry t to poul os et al. 2025).
与多种癌症中血糖水平升高有关 (McGirt et al. 2008; Ramteke et al. 2019; P. Zhang et al. 2022; Santos and Hussain 2020)。若能在保持疗效且无毒性或毒性最小的情况下,KMT也可与其他疗法(包括标准治疗)联合使用 (Duraj et al. 2024; K iry t to poul os et al. 2025)。
While the elevation of circulating ketone bodies allows for the chronic restriction of glucose availability, glutamine availability cannot be chronically restricted due to its importance for the urea cycle, gut health, and immune system function (Seyfried et al. 2017; Duraj et al. 2024).
虽然循环酮体的升高允许长期限制葡萄糖的可用性,但由于谷氨酰胺对尿素循环、肠道健康和免疫系统功能的重要性 (Seyfried et al. 2017; Duraj et al. 2024) ,其可用性无法长期受限。
Consequently, glutamine targeting should be pulsed rather than pressed to avoid adverse toxic effects. Cells of the immune system, especially macrophages, use glutamine for energy and other biological functions including wound healing (P. Newsholme 2001; Wculek et al. 2022; Hofer et al. 1999). Most metastatic cancers also express biomarkers of macrophages indicating a macrophage/myeloid origin of metastatic cancer arising from either a direct transformation of macrophage/myeloid cells or from fusion hybridization s between neoplastic stem cells and macrophages (Seyfried and Huy sent ruy t 2013; Huy sent ruy t et al. 2008; Huysen- truyt and Seyfried 2010; Ruff and Pert 1984; Lindstrom et al. 2017; Lopez-Collazo and Hurtado-Navarro 2025; Powell et al. 2011; Pawelek 2014; Schramm 2014). In other words, the same fuel needed for driving metastasis is also needed for supporting immune cell function (Rodrigues et al. 2016; Shelton et al. 2010; Mukherjee et al. 2019; Duraj et al. 2024; Seyfried et al. 2017). These findings indicate that strategic glucose & glutamine targeting will be necessary for managing invasive and metastatic cancers while maintaining normal immune cell function.
因此,靶向谷氨酰胺 (glutamine) 应采取脉冲式而非持续抑制策略,以避免毒性副作用。免疫细胞(尤其是巨噬细胞)依赖谷氨酰胺供能并执行伤口愈合等生理功能 (P. Newsholme 2001; Wculek et al. 2022; Hofer et al. 1999)。多数转移性癌症也表达巨噬细胞生物标志物,提示其可能源自巨噬细胞/髓系细胞的直接转化,或肿瘤干细胞与巨噬细胞的融合杂交 (Seyfried and Huysentruyt 2013; Huysentruyt et al. 2008; Huysentruyt and Seyfried 2010; Ruff and Pert 1984; Lindstrom et al. 2017; Lopez-Collazo and Hurtado-Navarro 2025; Powell et al. 2011; Pawelek 2014; Schramm 2014)。换言之,驱动转移的代谢燃料同样为免疫细胞功能所必需 (Rodrigues et al. 2016; Shelton et al. 2010; Mukherjee et al. 2019; Duraj et al. 2024; Seyfried et al. 2017)。这些发现表明,在维持正常免疫功能的同时,需通过精准靶向葡萄糖和谷氨酰胺来治疗侵袭性与转移性癌症。
It is also interesting that some parasites, like tumor cells, rely more heavily on SLP than on OxPhos for ATP production (Bochud-Allemann and Schneider 2002; Kita et al. 2002; Saz 1981). These findings could make parasite medications potentially non-toxic, cost-effective treatments for managing cancer including pediatric high-grade gliomas (Veera kumar i and Munuswamy 2000; Xiao et al. 1994; Gallia et al. 2021; Hunger-Glaser et al. 1999; Mukherjee et al. 2023). While some have suggested that targeting OxPhos might also be effective in managing cancer, serious toxicity to normal cells could be an unanticipated consequence of such therapeutic strategies (Alcala et al. 2024; Greene et al. 2022; X. Zhang and Dang 2023). It is our view that the simultaneous targeting of glucose and glutamine while transitioning the body to nutritional ketosis will stress tumor cells of the energy and the carbons and nitrogen needed for the synthesis of growth metabolites. This therapeutic strategy will also reduce the acidification and inflammation in the tumor micro environment thus facilitating the non-toxic metabolic management of cancer (Boros et al. 1998; Mazat 2021; Seyfried et al. 2017; Duraj et al. 2024).
有趣的是,某些寄生生物(如肿瘤细胞)主要依赖糖酵解(SLP)而非氧化磷酸化(OxPhos)来产生ATP [Bochud-Allemann and Schneider 2002; Kita et al. 2002; Saz 1981]。这一发现使得抗寄生虫药物可能成为治疗癌症(包括儿童高级别胶质瘤)的低毒性、高性价比方案 [Veera kumar i and Munuswamy 2000; Xiao et al. 1994; Gallia et al. 2021; Hunger-Glaser et al. 1999; Mukherjee et al. 2023]。虽然有人认为靶向氧化磷酸化也可能有效控制癌症,但此类治疗策略可能对正常细胞产生意外的严重毒性 [Alcala et al. 2024; Greene et al. 2022; X. Zhang and Dang 2023]。我们认为,在使机体转向营养性酮症的同时靶向葡萄糖和谷氨酰胺,将切断肿瘤细胞合成生长代谢物所需的能量、碳源和氮源。这种治疗策略还能减轻肿瘤微环境的酸化和炎症,从而实现无毒代谢治疗癌症 [Boros et al. 1998; Mazat 2021; Seyfried et al. 2017; Duraj et al. 2024]。
Conclusions
结论
Scientific theories are simply attempts to explain the facts of nature. Reality is based on replicated facts, whereas the interpretation of the facts is based on credible theories (Seyfried and Chino poul os 2021). While Warburg was largely correct in recognizing OxPhos insufficiency linked to compensatory lactic acid fermentation as the origin of cancer, several questionable assumptions and measurements of cellular ATP production have confounded data interpretation linked to his hypothesis. Warburg’s reliance on oxy- gen consumption rate and lactate production as measures to support his hypothesis were inaccurate and contributed to confusions in biochemical terminologies, which persist even today in the cancer metabolism field. Moreover, he did not know that glutamine-driven mitochondrial SLP through the glut amino lysis pathway could also contribute to cancer cell ATP production. These issues have now been better clarified. While the somatic mutation theory is currently the predominant explanation for the origin of cancer, the mitochondrial metabolic theory offers a more credible explanation that can lead to more effective and less toxic therapeutic strategies for managing cancer.
科学理论只是对自然现象的解释尝试。现实建立在可重复的事实基础上,而对事实的诠释则基于可信的理论 (Seyfried and Chino poul os 2021)。虽然Warburg正确地将氧化磷酸化不足与代偿性乳酸发酵联系起来作为癌症起源,但一些关于细胞ATP生成的有争议假设和测量方法混淆了与其假说相关的数据解读。Warburg依赖耗氧率和乳酸产量作为支持其假说的指标并不准确,这造成了生物化学术语的混淆——这种混淆在癌症代谢领域持续至今。此外,他当时并不知道通过谷氨酰胺分解途径驱动的线粒体底物水平磷酸化(SLP)也能为癌细胞提供ATP。这些问题现已得到更清晰的阐明。虽然体细胞突变理论是目前解释癌症起源的主流观点,但线粒体代谢理论提供了更可信的解释,有望带来更有效且毒性更低的癌症治疗策略。
Author contributions TNS conceptualized and prepared the original manuscript. DCL, TD, NLT reviewed the manuscript and curated the Table and Figures. GAM provided some images for the Figures. CC, MK and PM reviewed and edited the manuscript. All authors reviewed the manuscript.
作者贡献 TNS负责构思并撰写初稿。DCL、TD、NLT审阅了手稿并整理了表格和图表。GAM为部分图表提供了图像素材。CC、MK和PM参与了手稿的审阅与编辑工作。所有作者均审阅了最终稿件。
Funding We thank the Foundation for Metabolic Cancer Therapies, The Elizabeth Ann Weathers Breast Cancer Research Fund., Dr. Joseph C. Maroon, Dr. Edward Miller, The Broken Science Initiative, Children with Cancer UK, The Corkin Family Foundation, and the Boston College Research Expense Fund for their support.
资助 我们感谢代谢癌症疗法基金会、Elizabeth Ann Weathers乳腺癌研究基金、Joseph C. Maroon博士、Edward Miller博士、Broken Science Initiative、英国儿童癌症协会、Corkin家族基金会以及波士顿学院研究经费基金的支持。
Data availability No datasets were generated or analysed during the current study.
数据可用性 当前研究未生成或分析任何数据集。
Declarations
声明
Ethical Approval Not Applicable.
伦理审批 不适用。
Conflict of interests Christos Chino poul os is the associate editor for Journal of Bio energetics and Bio membranes. Michael Kiebish is VP of Platform and Translational Sciences of BPG Bio. No other conflicts of interest were disclosed for the other authors.
利益冲突声明
Christos Chinopoulos担任《Journal of Bioenergetics and Biomembranes》副主编。Michael Kiebish担任BPG Bio平台与转化科学副总裁。其他作者未披露利益冲突。
Open Access This article is licensed under a Creative Commons Attribution 4.0 International License, which permits use, sharing, adaptation, distribution and reproduction in any medium or format, as long as you give appropriate credit to the original author(s) and the source, provide a link to the Creative Commons licence, and indicate if changes were made. The images or other third party material in this article are included in the article’s Creative Commons licence, unless indicated otherwise in a credit line to the material. If material is not included in the article’s Creative Commons licence and your intended use is not permitted by statutory regulation or exceeds the permitted use, you will need to obtain permission directly from the copyright holder. To view a copy of this licence, visit http://creative commons.org/licenses/by/4.0/.
开放获取 本文遵循知识共享署名4.0国际许可协议 (Creative Commons Attribution 4.0 International License)。该协议允许您在任何媒介或格式中使用、共享、改编、分发和复制本作品,但须遵守以下条件:注明原作者及来源、提供知识共享许可协议链接,并说明是否对原始内容进行了修改。除非在材料的署名栏中另有说明,否则本文中的图片或其他第三方材料均包含在知识共享许可协议范围内。若材料未被纳入许可范围,或您的使用方式超出法定允许范围,您需要直接向版权所有者获取授权。许可协议副本可通过 http://creativecommons.org/licenses/by/4.0/ 查看。
